Xray School
This page is a work in progress… CME4PAC xray school is being developed to teach PAs how to read xrays and to test your ability to identify normal and abnormal findings. Our intention is to build a library of orthopedic xrays that you can review, some normal and some abnormal.
Quiz-summary
0 of 1 questions completed
Questions:
- 1
Information
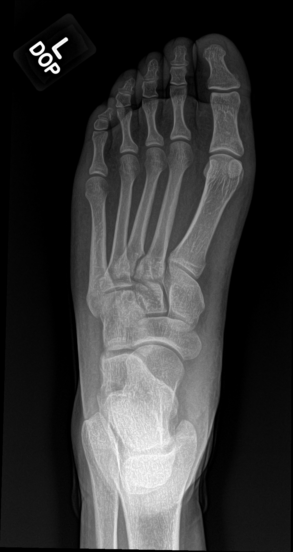
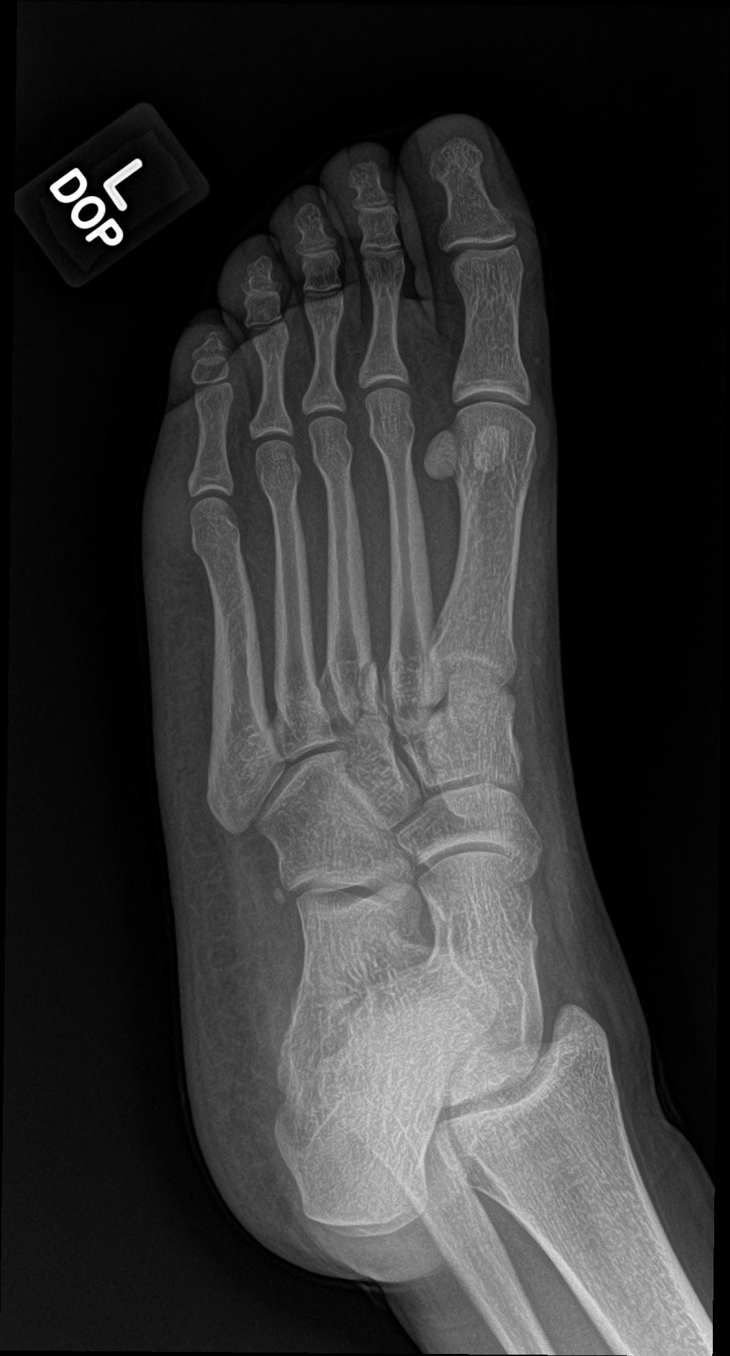
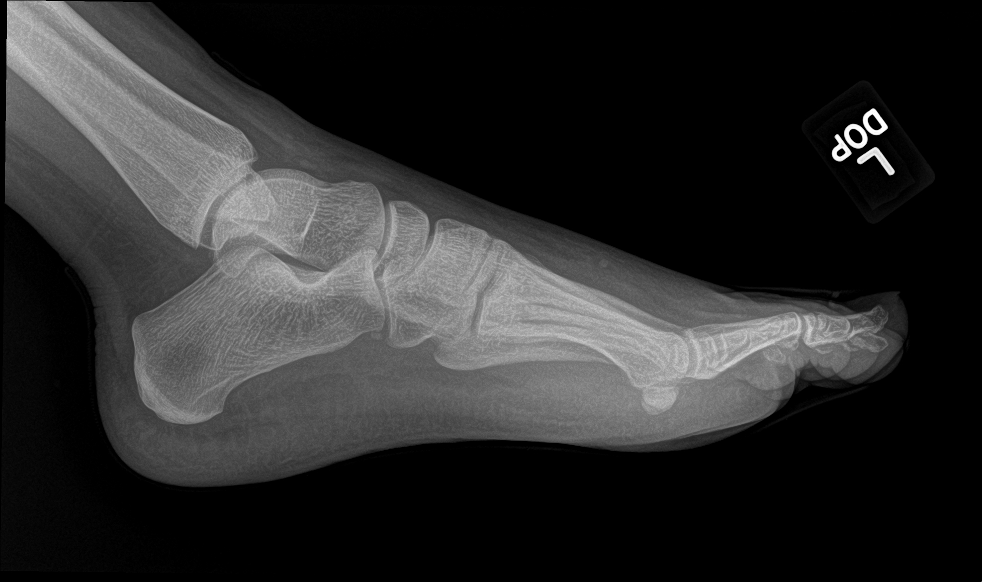
foot xrays
You have already completed the quiz before. Hence you can not start it again.
Quiz is loading...
You must sign in or sign up to start the quiz.
You have to finish following quiz, to start this quiz:
Results
0 of 1 questions answered correctly
Your time:
Time has elapsed
You have reached 0 of 0 points, (0)
Categories
- Not categorized 0%
- 1
- Answered
- Review
-
Question 1 of 1
1. Question
A 21 year old female with left forefoot pain after rolling her foot 2 weeks ago.


Correct
base of the 3rd metatarsal fracture
Incorrect
base of the 3rd metatarsal fracture