Bone Tumors Exam

Question 1 of 21

This field is for validation purposes and should be left unchanged.

Bone Tumors Exam

This exam is not currently approved for CME:  Just some fun learning!
Learning Objectives: At the conclusion of the general orthopedic self-assessment exam physician assistants should be familiar with radiographic characteristics of benign and malignant bone tumors, be able to identify common benign bone tumors including enchondroma, unicameral bone cyst, nonossifying fibroma, osteoid osteoma, aneurismal bone cyst, giant cell tumor, and osteochondroma, be able to identify common malignant bone tumors including osteosarcoma, chondrosarcoma, and Ewing’s sarcoma, and be able to identify and understand treatment of pathological fractures from metastatic disease.

Question 1
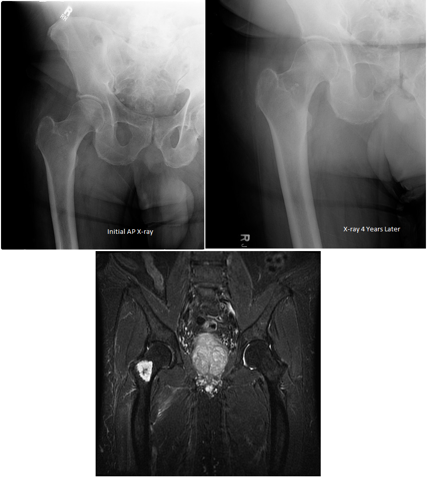
A 79-year old female presents with complaints of right hip pain for 2 months. She denies prior injury or precipitating event. The pain is made worse by lying on the affected side and occasionally hurts with hip motion. The pain is improved with NSAIDS and placing ice on the lateral aspect of her hip. Her primary care physician ordered x-rays which showed a bone lesion in the proximal femur. Her PCP was concerned she had bone cancer and ordered an MRI of the thigh to further evaluate. AP x-ray and a coronal MRI image are shown above. The patient denies a history of weight loss, fatigue, and history of cancer. On exam the patient has no pain with passive range of motion of the hip in all planes. She has pain with palpation over the greater trochanteric bursae. Motor and sensation are intact throughout the lower extremities. What is the most likely cause of this patient’s pain?