2025 questions
Quiz-summary
0 of 43 questions completed
Questions:
- 1
- 2
- 3
- 4
- 5
- 6
- 7
- 8
- 9
- 10
- 11
- 12
- 13
- 14
- 15
- 16
- 17
- 18
- 19
- 20
- 21
- 22
- 23
- 24
- 25
- 26
- 27
- 28
- 29
- 30
- 31
- 32
- 33
- 34
- 35
- 36
- 37
- 38
- 39
- 40
- 41
- 42
- 43
Information
2025 questions
You have already completed the quiz before. Hence you can not start it again.
Quiz is loading...
You must sign in or sign up to start the quiz.
You have to finish following quiz, to start this quiz:
Results
0 of 43 questions answered correctly
Your time:
Time has elapsed
You have reached 0 of 0 points, (0)
Categories
- Not categorized 0%
-
2025 questions
- 1
- 2
- 3
- 4
- 5
- 6
- 7
- 8
- 9
- 10
- 11
- 12
- 13
- 14
- 15
- 16
- 17
- 18
- 19
- 20
- 21
- 22
- 23
- 24
- 25
- 26
- 27
- 28
- 29
- 30
- 31
- 32
- 33
- 34
- 35
- 36
- 37
- 38
- 39
- 40
- 41
- 42
- 43
- Answered
- Review
-
Question 1 of 43
1. Question

An 80 year old female presents to your office with a left ring finger deformity after a fall one week ago. She initially went to urgent care and xrays were unremarkable for a fracture (Figures 1 and 2). A photo of her left ring finger is shown in figure 3. On physical exam the left ring finger is in hyperextension at the PIP joint and flexion at the DIP joint. She able to flex her PIP joint with full motion. What is the best treatment option?
Correct
A swan neck deformity of the finger is characterized by hyperextension of the PIP joint and flexion of the DIP joint. Boutonniere deformity is often confused with a swan neck deformity. Boutonniere deformity is the opposite, with hyperextension of the DIP joint and flexion of the PIP joint. A swan neck deformity is commonly associated with rheumatoid arthritis but can be due to trauma such as a mallet finger injury, volar plate injury, or FDS tendon laceration. These injuries can disrupt the muscle balances at the PIP joint resulting in the deformity. Non-operative treatment is recommended for patients with a mild deformity and preserved flexion at the PIP joint. A double ring splint is often used to prevent hyperextension of the PIP joint while allowing full flexion. The double ring splint if functional and helps prevent symptomatic snapping of the finger when trying to flex the PIP joint. Patients with a chronic progressive deformity or stiffness at the PIP joint generally require surgery to correct. The goal of surgery is to prevent hyperextension at the PIP joint which can be achieved by a number of soft tissue procedures. The most common techniques include an FDS tenodesis, spiral oblique retinacular ligament reconstruction, or a central slip tenotomy. 1,2
Answer A.
References
1. McKeon KE, Lee DH. Posttraumatic boutonnière and swan neck deformities. JAAOS-Journal of the American Academy of Orthopaedic Surgeons. 2015 Oct 1;23(10):623-32.
2. Lane R, Nallamothu SV. Swan-Neck Deformity. [Updated 2023 Jun 26]. In: StatPearls [Internet]. Treasure Island (FL): StatPearls Publishing; 2025 Jan-. Available from: https://www.ncbi.nlm.nih.gov/books/NBK525970/
Incorrect
A swan neck deformity of the finger is characterized by hyperextension of the PIP joint and flexion of the DIP joint. Boutonniere deformity is often confused with a swan neck deformity. Boutonniere deformity is the opposite, with hyperextension of the DIP joint and flexion of the PIP joint. A swan neck deformity is commonly associated with rheumatoid arthritis but can be due to trauma such as a mallet finger injury, volar plate injury, or FDS tendon laceration. These injuries can disrupt the muscle balances at the PIP joint resulting in the deformity. Non-operative treatment is recommended for patients with a mild deformity and preserved flexion at the PIP joint. A double ring splint is often used to prevent hyperextension of the PIP joint while allowing full flexion. The double ring splint if functional and helps prevent symptomatic snapping of the finger when trying to flex the PIP joint. Patients with a chronic progressive deformity or stiffness at the PIP joint generally require surgery to correct. The goal of surgery is to prevent hyperextension at the PIP joint which can be achieved by a number of soft tissue procedures. The most common techniques include an FDS tenodesis, spiral oblique retinacular ligament reconstruction, or a central slip tenotomy. 1,2
Answer A.
References
1. McKeon KE, Lee DH. Posttraumatic boutonnière and swan neck deformities. JAAOS-Journal of the American Academy of Orthopaedic Surgeons. 2015 Oct 1;23(10):623-32.
2. Lane R, Nallamothu SV. Swan-Neck Deformity. [Updated 2023 Jun 26]. In: StatPearls [Internet]. Treasure Island (FL): StatPearls Publishing; 2025 Jan-. Available from: https://www.ncbi.nlm.nih.gov/books/NBK525970/
-
Question 2 of 43
2. Question

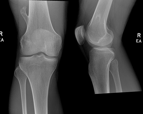
A 23 year old female presents to your office with right knee pain after her dog struck her knee from the side 2 days ago. Her dog is over 80 pounds and was running fast when he unexpectedly struck her knee. The knee buckled and she was unable to bear weight after. She has since had increased swelling and pain. On physical exam of the right knee, she has significant laxity with valgus stress at 30 degrees of flexion. She has a negative Lachman’s and a large joint effusion. She has significant tenderness along the medial tibial plateau at the insertion area of the MCL. MRI shows a lateral tibial plateau fracture with 2 mm of depression and laxity of the MCL fibers consistent with a complete rupture off the tibia attachment. What is the best treatment option?
Correct
The medial collateral ligament is a critical structure in the knee that provides stability against valgus stress, rotation, and anterior translation of the tibia. A blow to the lateral knee during athletic activities creates a valgus stress to the knee and injury to the MCL. The MCL should be tested in 30 degrees to isolate the ligament and determine the severity of the injury. Grade 1-2 lesions involve tearing of little to few ligament fibers and can be treated with a hinged knee brace. For significant laxity (Grade 3 injuries) an MRI should be performed to determine the location and extent of the injury. MCL tears from the femoral side have good healing potential as the torn ligament stump stays in proximity to its attachment site. Tibial sided MCL tears may have trouble healing as the pes anserine tendon can become interposed between the tibia and the injured MCL, preventing healing of the ligament to bone (this is a so called stener lesion). In the case of a stener lesion, surgical repair is indicated within the first 3 weeks of injury. An MCL reconstruction may be necessary for chronic tears where the ligament becomes incompetent and irreparable.
Answer C
References
1. Vosoughi F, Rezaei Dogahe R, Nuri A, Ayati Firoozabadi M, Mortazavi J. Medial Collateral Ligament Injury of the Knee: A Review on Current Concept and Management. Arch Bone Jt Surg. 2021 May;9(3):255-262. doi: 10.22038/abjs.2021.48458.2401. PMID: 34239952; PMCID: PMC8221433. 2. Andrews K, Lu A, Mckean L, Ebraheim N. Medial collateral ligament injuries. Journal of orthopaedics. 2017 Dec 1;14(4):550-4.
Incorrect
The medial collateral ligament is a critical structure in the knee that provides stability against valgus stress, rotation, and anterior translation of the tibia. A blow to the lateral knee during athletic activities creates a valgus stress to the knee and injury to the MCL. The MCL should be tested in 30 degrees to isolate the ligament and determine the severity of the injury. Grade 1-2 lesions involve tearing of little to few ligament fibers and can be treated with a hinged knee brace. For significant laxity (Grade 3 injuries) an MRI should be performed to determine the location and extent of the injury. MCL tears from the femoral side have good healing potential as the torn ligament stump stays in proximity to its attachment site. Tibial sided MCL tears may have trouble healing as the pes anserine tendon can become interposed between the tibia and the injured MCL, preventing healing of the ligament to bone (this is a so called stener lesion). In the case of a stener lesion, surgical repair is indicated within the first 3 weeks of injury. An MCL reconstruction may be necessary for chronic tears where the ligament becomes incompetent and irreparable.
Answer C
References
1. Vosoughi F, Rezaei Dogahe R, Nuri A, Ayati Firoozabadi M, Mortazavi J. Medial Collateral Ligament Injury of the Knee: A Review on Current Concept and Management. Arch Bone Jt Surg. 2021 May;9(3):255-262. doi: 10.22038/abjs.2021.48458.2401. PMID: 34239952; PMCID: PMC8221433. 2. Andrews K, Lu A, Mckean L, Ebraheim N. Medial collateral ligament injuries. Journal of orthopaedics. 2017 Dec 1;14(4):550-4.
-
Question 3 of 43
3. Question

A 16 year old male presents to the office with a history of right elbow pain for 6-8 months. His problem began several months ago while playing baseball. While pitching, he developed medial-sided elbow pain which increased with his pitch count. The pain improved after he ceased throwing. He has tried taking periods of 3-4 weeks off from throwing on a few occasions but the pain quickly returns when he pitches. He denies feeling a “pop” or a known injury why throwing. On physical exam of the right elbow there is a positive moving valgus stress test with pain over the medial elbow but no elbow instability. MRI was performed showing a low grade partial thickness tear of the ulnar collateral ligament (UCL) (Figure 1). Figure 2 is a fluoroscopic arthrography image of the right elbow with a negative “T” sign. What is the best treatment option at this time?
Correct
Overhead athletes subject their throwing elbow to significant valgus stress during athletic activities which can lead to elbow pain and pathology. Common causes of elbow pain in throwing athletes include medial apophysitis, osteochondral lesions, medial epicondylitis, ulnar neuritis, and ulnar collateral ligament tears. Ulnar collateral ligament tears are challenging injuries to diagnose and treat given the wide variability of injury severity. An MRI arthrogram is the diagnostic study of choice that best visualizes the UCL ligament. Other diagnostic modalities include CT and fluoroscopic arthrography and ultrasound. Fluoroscopic arthrography (injecting die in the elbow) helps diagnose UCL tears with the presence of a “T” sign, or contrast die seen extravasating under the UCL and outside of the joint. The UCL attachments usually stop at the articular margins which keeps contrast within the joint. The “T” sign has since been shown to be a poor predictor of UCL tears as elbows can have anatomical variants. One such variant includes greater insertional distances of the ligament, which can be mistaken for UCL laxity or a tear. Treatment of partial tears can be a challenge as many will fail conservative treatment, with one study showing only 42% of athletes with an incompetent UCL were able to return to play without surgery. Surgical reconstruction success rates are excellent with an up to 80% to 95% return to play rate, however this requires a lengthy rehab period of up to 12 months. A platelet rich plasma (PRP) injection has shown promising results for an improved rate of return to play, by in theory, improving healing rates of partial UCL tears. However, studies on PRP injections and return to play are still conflicting without a consensus on efficacy to date. Rest and rehabilitation are the overall consensus treatment options for partial UCL tears and PRP injections are a reasonable adjunct treatment to offer. 1,2
Answer A.
References
1. Safran M, Ahmad CS, Elattrache NS. Ulnar collateral ligament of the elbow. Arthroscopy: The Journal of Arthroscopic & Related Surgery. 2005 Nov 1;21(11):1381-95.
2. Lin DJ, Kazam JK, Ahmed FS, Wong TT. Ulnar collateral ligament insertional injuries in pediatric overhead athletes: are MRI findings predictive of symptoms or need for surgery?. American Journal of Roentgenology. 2019 Apr;212(4):867-73.
Incorrect
Overhead athletes subject their throwing elbow to significant valgus stress during athletic activities which can lead to elbow pain and pathology. Common causes of elbow pain in throwing athletes include medial apophysitis, osteochondral lesions, medial epicondylitis, ulnar neuritis, and ulnar collateral ligament tears. Ulnar collateral ligament tears are challenging injuries to diagnose and treat given the wide variability of injury severity. An MRI arthrogram is the diagnostic study of choice that best visualizes the UCL ligament. Other diagnostic modalities include CT and fluoroscopic arthrography and ultrasound. Fluoroscopic arthrography (injecting die in the elbow) helps diagnose UCL tears with the presence of a “T” sign, or contrast die seen extravasating under the UCL and outside of the joint. The UCL attachments usually stop at the articular margins which keeps contrast within the joint. The “T” sign has since been shown to be a poor predictor of UCL tears as elbows can have anatomical variants. One such variant includes greater insertional distances of the ligament, which can be mistaken for UCL laxity or a tear. Treatment of partial tears can be a challenge as many will fail conservative treatment, with one study showing only 42% of athletes with an incompetent UCL were able to return to play without surgery. Surgical reconstruction success rates are excellent with an up to 80% to 95% return to play rate, however this requires a lengthy rehab period of up to 12 months. A platelet rich plasma (PRP) injection has shown promising results for an improved rate of return to play, by in theory, improving healing rates of partial UCL tears. However, studies on PRP injections and return to play are still conflicting without a consensus on efficacy to date. Rest and rehabilitation are the overall consensus treatment options for partial UCL tears and PRP injections are a reasonable adjunct treatment to offer. 1,2
Answer A.
References
1. Safran M, Ahmad CS, Elattrache NS. Ulnar collateral ligament of the elbow. Arthroscopy: The Journal of Arthroscopic & Related Surgery. 2005 Nov 1;21(11):1381-95.
2. Lin DJ, Kazam JK, Ahmed FS, Wong TT. Ulnar collateral ligament insertional injuries in pediatric overhead athletes: are MRI findings predictive of symptoms or need for surgery?. American Journal of Roentgenology. 2019 Apr;212(4):867-73.
-
Question 4 of 43
4. Question

A 72 year old female presents to your office with a 6 week history of a bump in the back of her knee which seems to be associated with mild leg swelling below the knee. She denies any history of DVT or recent prolonged travel. She has had intermittent knee pain in the past which has been well controlled with ibuprofen. On physical exam she has a small joint effusion with pain to palpation over the medial joint line. AP and lateral xrays are shown in figures 1 and 2. A picture of the patient’s posterior knee is shown in figure 3. What is the best initial treatment option?
Correct
A popliteal or “bakers” cyst is a fluid filled cyst formed by synovial fluid from the knee. The gastrocnemius semimembranosus bursa communicates directly with the knee joint which allows synovial fluid to flow from the knee directly into the bursae. Synovial fluid builds up (knee swelling) from intra-articular pathology and travels through a one-way valve to the bursae, which allows fluid to leave the joint but not return. Most popliteal cysts are small and asymptomatic but some can become large enough to be symptomatic or cause compression on local lymphatic and neurovascular structures. Large cyst that cause local compression or rupture, can cause significant unilateral leg swelling. Any presentation of acute unilateral leg swelling should warrant an ultrasound to rule out DVT as a rupture bakers cyst should be a diagnosis of exclusion. A cyst is described as simple when consisting of one large fluid filled mass, or complex with multiple septations. Complex cysts tend to be more persistent and less responsive to conservative treatment. Conservative treatment includes aspiration and injection of a corticosteroid, which can either by intra-articular or into the cyst. Either way any intra-articular pathology must be addressed or persistent knee swelling causes a high recurrence rate of the cyst. Baker cysts are rarely found without out some type of intra-articular pathology including a meniscus tear or arthritis. If there is an intra-articular effusion, a knee aspiration with corticosteroid injection is generally recommended. In the absence of a knee effusion, it is reasonable to aspirate the cyst and injection a corticosteroid into the cyst. Aspirations can be performed a few times but if the cyst recurs then a knee arthroscopy to address intra-articular pathology may be necessary. 1,2
Answer B.
References
1. Van Nest DS, Tjoumakaris FP, Smith BJ, Beatty TM, Freedman KB. Popliteal cysts: a systematic review of nonoperative and operative treatment. JBJS reviews. 2020 Mar 1;8(3):e0139.
2. Bekou V, Galis D, Traber J. Unilateral leg swelling: deep vein thrombosis?. Phlebology. 2011 Feb;26(1):8-13.
Incorrect
A popliteal or “bakers” cyst is a fluid filled cyst formed by synovial fluid from the knee. The gastrocnemius semimembranosus bursa communicates directly with the knee joint which allows synovial fluid to flow from the knee directly into the bursae. Synovial fluid builds up (knee swelling) from intra-articular pathology and travels through a one-way valve to the bursae, which allows fluid to leave the joint but not return. Most popliteal cysts are small and asymptomatic but some can become large enough to be symptomatic or cause compression on local lymphatic and neurovascular structures. Large cyst that cause local compression or rupture, can cause significant unilateral leg swelling. Any presentation of acute unilateral leg swelling should warrant an ultrasound to rule out DVT as a rupture bakers cyst should be a diagnosis of exclusion. A cyst is described as simple when consisting of one large fluid filled mass, or complex with multiple septations. Complex cysts tend to be more persistent and less responsive to conservative treatment. Conservative treatment includes aspiration and injection of a corticosteroid, which can either by intra-articular or into the cyst. Either way any intra-articular pathology must be addressed or persistent knee swelling causes a high recurrence rate of the cyst. Baker cysts are rarely found without out some type of intra-articular pathology including a meniscus tear or arthritis. If there is an intra-articular effusion, a knee aspiration with corticosteroid injection is generally recommended. In the absence of a knee effusion, it is reasonable to aspirate the cyst and injection a corticosteroid into the cyst. Aspirations can be performed a few times but if the cyst recurs then a knee arthroscopy to address intra-articular pathology may be necessary. 1,2
Answer B.
References
1. Van Nest DS, Tjoumakaris FP, Smith BJ, Beatty TM, Freedman KB. Popliteal cysts: a systematic review of nonoperative and operative treatment. JBJS reviews. 2020 Mar 1;8(3):e0139.
2. Bekou V, Galis D, Traber J. Unilateral leg swelling: deep vein thrombosis?. Phlebology. 2011 Feb;26(1):8-13.
-
Question 5 of 43
5. Question

A 14 year old male presents to your office with right elbow pain after throwing a ball 2 days ago. He was pitching when he felt a pop in the right elbow followed by sharp pain on the inside of his elbow. He was unable to throw after and the pain and swelling has increased the last few days. On physical exam he has tenderness to palpation over the medial epicondyle. There is no gross deformity to the elbow or laxity. Side by side (ipsilateral and contralateral) AP xrays of the elbows are shown in figure 1. What is the best treatment option?
Correct
Elbow injuries are common in the adolescent overhead throwing athlete. Injuries generally occur at the medial elbow due to significant valgus stress during throwing motion. The medial epicondyle is an attachment site for the flexor/pronator tendon and the ulnar collateral ligament. Stability of these structures with an intact medial epicondyle is critical to withstand valgus stress during the throwing motion. The work-up of medial elbow injuries includes a careful physical exam and x-rays of the ipsilateral and contralateral elbows to determine displacement and skeletal maturity. Adolescent athletes with open growth plates and skeletal growth remaining have remodeling potential which can factor into treatment decisions. In general, up to 5mm of displacement of the medial condyle apophysis can be accepted for nonoperative treatment. However, there is no widely accepted amount of displacement in the literature and nonoperative treatment may be used with >5mm of displacement. Non operative treatment involves an elbow brace or long arm cast fixed at 70 to 90 degrees of flexion for 3-4 weeks. Patients can then work on range of motion exercises without lifting with the arm until radiographic signs of healing are evident. Pitchers can expect a return to throwing program to begin at 3-4 months after the fracture. Indications for operative management are controversial and may include displacement >5mm, valgus instability of the elbow on exam in an overhead throwing athlete, and ulnar nerve symptoms. Significant fracture displacement is often a result of a high level trauma such as an elbow dislocation. 1,2
Answer B.
1. Osbahr DC, Chalmers PN, Frank JS, Williams III RJ, Widmann RF, Green DW. Acute, avulsion fractures of the medial epicondyle while throwing in youth baseball players: a variant of Little League elbow. Journal of shoulder and elbow surgery. 2010 Oct 1;19(7):951-7.
2. Lawrence JT, Patel NM, Macknin J, Flynn JM, Cameron D, Wolfgruber HC, Ganley TJ. Return to competitive sports after medial epicondyle fractures in adolescent athletes: results of operative and nonoperative treatment. The American journal of sports medicine. 2013 May;41(5):1152-7.
Incorrect
Elbow injuries are common in the adolescent overhead throwing athlete. Injuries generally occur at the medial elbow due to significant valgus stress during throwing motion. The medial epicondyle is an attachment site for the flexor/pronator tendon and the ulnar collateral ligament. Stability of these structures with an intact medial epicondyle is critical to withstand valgus stress during the throwing motion. The work-up of medial elbow injuries includes a careful physical exam and x-rays of the ipsilateral and contralateral elbows to determine displacement and skeletal maturity. Adolescent athletes with open growth plates and skeletal growth remaining have remodeling potential which can factor into treatment decisions. In general, up to 5mm of displacement of the medial condyle apophysis can be accepted for nonoperative treatment. However, there is no widely accepted amount of displacement in the literature and nonoperative treatment may be used with >5mm of displacement. Non operative treatment involves an elbow brace or long arm cast fixed at 70 to 90 degrees of flexion for 3-4 weeks. Patients can then work on range of motion exercises without lifting with the arm until radiographic signs of healing are evident. Pitchers can expect a return to throwing program to begin at 3-4 months after the fracture. Indications for operative management are controversial and may include displacement >5mm, valgus instability of the elbow on exam in an overhead throwing athlete, and ulnar nerve symptoms. Significant fracture displacement is often a result of a high level trauma such as an elbow dislocation. 1,2
Answer B.
1. Osbahr DC, Chalmers PN, Frank JS, Williams III RJ, Widmann RF, Green DW. Acute, avulsion fractures of the medial epicondyle while throwing in youth baseball players: a variant of Little League elbow. Journal of shoulder and elbow surgery. 2010 Oct 1;19(7):951-7.
2. Lawrence JT, Patel NM, Macknin J, Flynn JM, Cameron D, Wolfgruber HC, Ganley TJ. Return to competitive sports after medial epicondyle fractures in adolescent athletes: results of operative and nonoperative treatment. The American journal of sports medicine. 2013 May;41(5):1152-7.
-
Question 6 of 43
6. Question

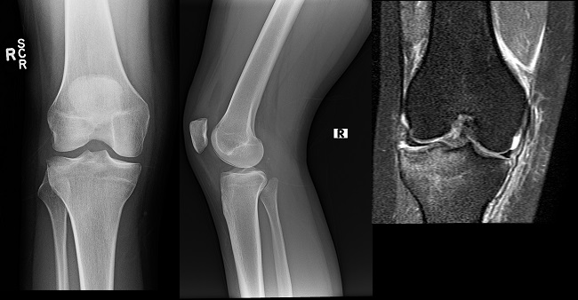
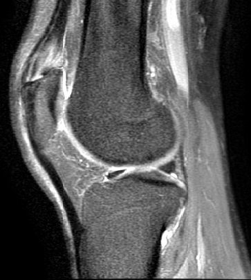
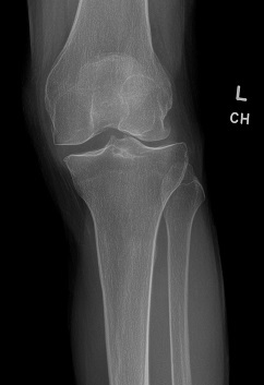
A 19 year old presents to your office with severe right knee pain after an injury at a trampoline park 2 hours earlier. When she landed from a jump she felt a pop in her knee and had immediate pain and inability to walk. On physical exam she has a large effusion and pain over the medial patella. AP, lateral, sunrise view xrays (figures 1,2 and 3) show an apparent avulsion fracture off the medial patella. Sagittal MRI (figure 4) shows a full thickness rupture of the medial patellofemoral ligament (MPFL). What is the best treatment option?
Correct
An acute lateral patella dislocation is a common injury seen in the athletic population with the majority occurring in patients less than 20 years of age. The mechanism of injury is a valgus force to a flexed knee which pulls the patella laterally out of the femoral groove. The knee dislocation is obvious on exam and generally easily reducible in the ambulance or emergency room setting. The patella can also spontaneously reduce itself with knee extension after injury. The initial work-up should include AP, lateral, and merchant view xrays to confirm reduction and look for evidence of osteochondral lesions. MRI is performed acutely if an OCD lesion, or an unstable ligament tear, is suspected but it may not be necessary in all acute patella dislocations. The primary restraint against lateral displacement of the patella is the medial patellofemoral ligament (MPFL). The MPFL originates from the medial epicondyle of the femur just anterior and superior to the medial collateral ligament and inserts at the medial superior aspect of the patella. The MPFL is torn in 90% of lateral patella dislocations, with the patella insertion being the most common site of rupture. The MPFL can heal itself overtime and an acute rupture is not an indication for acute surgery. Treatment involves immobilizing the knee to avoid deep flexion for 4-6 weeks. The knee is locked in extension during ambulation for 4-6 weeks until the quadriceps function returns to normal. A gradual increase in passive range of motion is allowed when the swelling starts to subside with the goal of no deep flexion beyond 60-90 degrees for 6 weeks after the injury to allow the MPFL to heal. Indications for MPFL reconstruction are vague and generally include chronic instability in the absence of other known causes of instability such as trochlear dysplasia, malalignment of the tibia relative to the femur, and patella alta. 1,2
Answer B.
References
1. Krebs C, Tranovich M, Andrews K, Ebraheim N. The medial patellofemoral ligament: Review of the literature. Journal of Orthopaedics. 2018 Jun 1;15(2):596-9.
2. Guerrero P, Li X, Patel K, Brown M, Busconi B. Medial patellofemoral ligament injury patterns and associated pathology in lateral patella dislocation: an MRI study. BMC Sports Science, Medicine and Rehabilitation. 2009 Dec;1:1-7.
Incorrect
An acute lateral patella dislocation is a common injury seen in the athletic population with the majority occurring in patients less than 20 years of age. The mechanism of injury is a valgus force to a flexed knee which pulls the patella laterally out of the femoral groove. The knee dislocation is obvious on exam and generally easily reducible in the ambulance or emergency room setting. The patella can also spontaneously reduce itself with knee extension after injury. The initial work-up should include AP, lateral, and merchant view xrays to confirm reduction and look for evidence of osteochondral lesions. MRI is performed acutely if an OCD lesion, or an unstable ligament tear, is suspected but it may not be necessary in all acute patella dislocations. The primary restraint against lateral displacement of the patella is the medial patellofemoral ligament (MPFL). The MPFL originates from the medial epicondyle of the femur just anterior and superior to the medial collateral ligament and inserts at the medial superior aspect of the patella. The MPFL is torn in 90% of lateral patella dislocations, with the patella insertion being the most common site of rupture. The MPFL can heal itself overtime and an acute rupture is not an indication for acute surgery. Treatment involves immobilizing the knee to avoid deep flexion for 4-6 weeks. The knee is locked in extension during ambulation for 4-6 weeks until the quadriceps function returns to normal. A gradual increase in passive range of motion is allowed when the swelling starts to subside with the goal of no deep flexion beyond 60-90 degrees for 6 weeks after the injury to allow the MPFL to heal. Indications for MPFL reconstruction are vague and generally include chronic instability in the absence of other known causes of instability such as trochlear dysplasia, malalignment of the tibia relative to the femur, and patella alta. 1,2
Answer B.
References
1. Krebs C, Tranovich M, Andrews K, Ebraheim N. The medial patellofemoral ligament: Review of the literature. Journal of Orthopaedics. 2018 Jun 1;15(2):596-9.
2. Guerrero P, Li X, Patel K, Brown M, Busconi B. Medial patellofemoral ligament injury patterns and associated pathology in lateral patella dislocation: an MRI study. BMC Sports Science, Medicine and Rehabilitation. 2009 Dec;1:1-7.
-
Question 7 of 43
7. Question

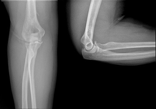
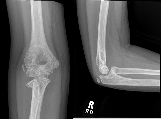
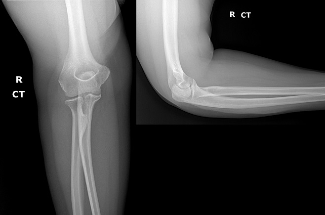
A 45 year old male presents to your office with right elbow pain after a fall 2 days ago. He fell on ice and landed with his arm extended. He had immediate elbow pain and has been unable to lift with that arm since. On physical exam he has moderate swelling and pain to palpation over the medial elbow. There is no apparent elbow instability with valgus stress to the elbow. AP and lateral xrays (figures 1 and 2) show a minimally displaced coronoid fracture at the anterior medial facet. What is the next best step in treatment?
Correct
The coronoid process is a bony prominence on the proximal ulna that forms an articulation with the trochlea of the distal humerus. The coronoid process, with support of the radial head, acts as a buttress to prevent posterior displacement of the ulna. Coronoid fractures are frequently associated with elbow dislocations but can also be from a fall on an outstretched hand that drives the ulna posteriorly. Coronoid fractures are often subtle and can be confused with radial head fractures. Treatment of coronoid fractures is determined by stability of the elbow. For unstable elbows on clinical exam, the elbow can be examined under fluoroscopy with a valgus stress placed on the LCL to confirm instability. After an elbow dislocation, injury to the LCL and fracture of the anteromedial facet of the coronoid can result in posteromedial rotatory instability. A CT or MRI may be warranted in high grade injuries with elbow instability on exam, and with comminuted fractures, but are generally not necessary for minimally displaced and nondisplaced fractures. Fractures that are minimally or non-displaced are generally stable and can be managed with non-operative treatment. A brief period of immobilization (generally 1-2 weeks) is recommended to control swelling followed by early range of motion. Elbow stiffness is a common complication of elbow injuries so early range of motion should be encouraged. 1,2
Answer D.
References
1. Steinmann SP. Coronoid process fracture. JAAOS-Journal of the American Academy of Orthopaedic Surgeons. 2008 Sep 1;16(9):519-29.
2. Regan W, Morrey BF. Classification and treatment of coronoid process fractures. Orthopedics. 1992 Jul 1;15(7):845-8.
Incorrect
The coronoid process is a bony prominence on the proximal ulna that forms an articulation with the trochlea of the distal humerus. The coronoid process, with support of the radial head, acts as a buttress to prevent posterior displacement of the ulna. Coronoid fractures are frequently associated with elbow dislocations but can also be from a fall on an outstretched hand that drives the ulna posteriorly. Coronoid fractures are often subtle and can be confused with radial head fractures. Treatment of coronoid fractures is determined by stability of the elbow. For unstable elbows on clinical exam, the elbow can be examined under fluoroscopy with a valgus stress placed on the LCL to confirm instability. After an elbow dislocation, injury to the LCL and fracture of the anteromedial facet of the coronoid can result in posteromedial rotatory instability. A CT or MRI may be warranted in high grade injuries with elbow instability on exam, and with comminuted fractures, but are generally not necessary for minimally displaced and nondisplaced fractures. Fractures that are minimally or non-displaced are generally stable and can be managed with non-operative treatment. A brief period of immobilization (generally 1-2 weeks) is recommended to control swelling followed by early range of motion. Elbow stiffness is a common complication of elbow injuries so early range of motion should be encouraged. 1,2
Answer D.
References
1. Steinmann SP. Coronoid process fracture. JAAOS-Journal of the American Academy of Orthopaedic Surgeons. 2008 Sep 1;16(9):519-29.
2. Regan W, Morrey BF. Classification and treatment of coronoid process fractures. Orthopedics. 1992 Jul 1;15(7):845-8.
-
Question 8 of 43
8. Question

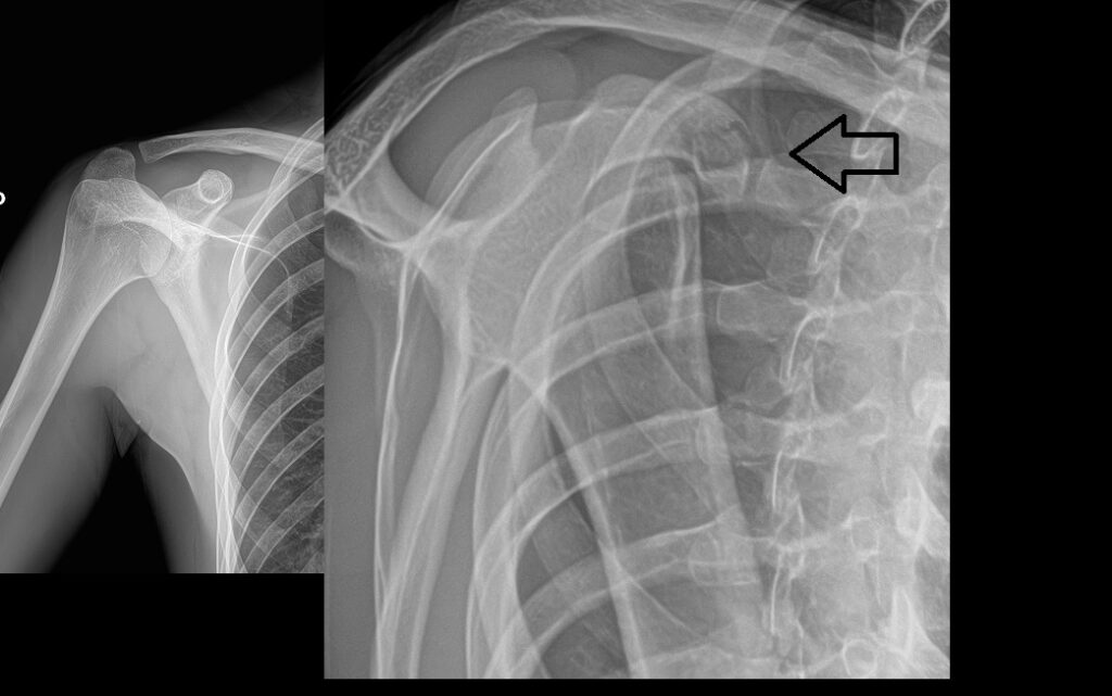
A 62 year old male presents to your clinic with right shoulder pain after a fall 4 weeks ago. He was initially seen in the emergency department where x-rays showed a subtle anterior glenoid fracture (Figures 1, 2 and 3). His pain has improved but he has been unable to lift the arm well since the fall. On physical exam he is unable to elevate his arm in the scapula plane. What is the next best step in treatment.
Correct
The case highlights the importance of getting an axillary view xray as the glenoid fracture isn’t well visualized on the AP and outlet view xrays. This fracture is an anterior glenoid rim fracture which is associated with a shoulder dislocation. Subtle anterior glenoid rim fractures will also cause a tear of the anterior labrum (this pattern is referred to as a bony Bankart lesion). The pattern of shoulder instability in this patient also raises concern of a rotator cuff injury. In patients over the age of 40 years, a shoulder dislocation often causes a rotator cuff tear. Studies have shown the incidence of a rotator cuff tear after a shoulder dislocation to be over 80%. Patients over 40 years of age with a shoulder dislocation can initially be treated with physical therapy but if rotator cuff weakness persists beyond 3-4 weeks than an MRI should be performed. This patient had an MRI which showed a large acute rotator cuff tear. He underwent arthroscopic Bankart and rotator cuff repairs 6 weeks after the injury. 1,2
Answer B.
References
1. Seidl AJ, Joyce CD. Acute fractures of the glenoid. JAAOS-Journal of the American Academy of Orthopaedic Surgeons. 2020 Nov 15;28(22):e978-87.
2. Murthi AM, Ramirez MA. Shoulder dislocation in the older patient. JAAOS-Journal of the American Academy of Orthopaedic Surgeons. 2012 Oct 1;20(10):615-22.
Incorrect
The case highlights the importance of getting an axillary view xray as the glenoid fracture isn’t well visualized on the AP and outlet view xrays. This fracture is an anterior glenoid rim fracture which is associated with a shoulder dislocation. Subtle anterior glenoid rim fractures will also cause a tear of the anterior labrum (this pattern is referred to as a bony Bankart lesion). The pattern of shoulder instability in this patient also raises concern of a rotator cuff injury. In patients over the age of 40 years, a shoulder dislocation often causes a rotator cuff tear. Studies have shown the incidence of a rotator cuff tear after a shoulder dislocation to be over 80%. Patients over 40 years of age with a shoulder dislocation can initially be treated with physical therapy but if rotator cuff weakness persists beyond 3-4 weeks than an MRI should be performed. This patient had an MRI which showed a large acute rotator cuff tear. He underwent arthroscopic Bankart and rotator cuff repairs 6 weeks after the injury. 1,2
Answer B.
References
1. Seidl AJ, Joyce CD. Acute fractures of the glenoid. JAAOS-Journal of the American Academy of Orthopaedic Surgeons. 2020 Nov 15;28(22):e978-87.
2. Murthi AM, Ramirez MA. Shoulder dislocation in the older patient. JAAOS-Journal of the American Academy of Orthopaedic Surgeons. 2012 Oct 1;20(10):615-22.
-
Question 9 of 43
9. Question

A 76 year old male presents to your office with acute on chronic lower back pain, worse over the last month. He denies having a known injury but has had a lumbar decompression over 10 years ago and a few rounds of lumbar epidural steroid injections since then with minimal relief. He denies a known injury or precipitating event causing this most recent pain. Last month he was placed on Xarelto for atrial fibrillation which is now rate controlled. AP and lateral xrays are shown in figures 1 and 2. He has degenerative changes throughout the lumbar spine and an incidental finding of a 7.6 cm abdominal aortic aneurysm (AAA), to which he is unaware of. What is the next best step in treatment?
Correct
The patient has an incidental finding of a large 7.6 cm calcified abdominal aortic aneurysm (AAA). This is a very unstable aneurysm and his lower back pain raises concern of a leaky AAA so the best choice of initial management is an urgent trip to the emergency room for a CT angiogram. An abdominal aorta enlarged greater than 3 cm in diameter is considered abnormal and aneurysmal. An AAA is commonly asymptomatic and rupture carries a 90% mortality rate. Occasionally an AAA can cause lower back and flank pain so orthopedic providers should keep the diagnosis as part of a broad differential. Lateral xrays may show a large calcified mass, as was the case with this patient, so it is critical to look at the entire xray and not just spinal abnormalities. Smaller, 3.5 cm -4.4 cm AAA can be monitored yearly for expansion with an ultrasound. AAA up to 5.4 cm should be monitored every 6 months while larger aneurysms should be repaired. As aneurysms grow the risk of rupture also increases. AAA’s greater than 7 cm in diameter have a 32.5% one year incidence of rupture. The treatment of choice for unstable AAA is an endovascular repair that involves introducing a stent through the femoral and iliac arteries. 1,2
Answer D.
References
1. Kent KC. Abdominal aortic aneurysms. New England Journal of Medicine. 2014 Nov 27;371(22):2101-8.
2. Silverstein MD, Pitts SR, Chaikof EL, Ballard DJ. Abdominal aortic aneurysm (AAA): cost-effectiveness of screening, surveillance of intermediate-sized AAA, and management of
symptomatic AAA. InBaylor University Medical Center Proceedings 2005 Oct 1 (Vol. 18, No. 4, pp. 345-367). Taylor & Francis.
Incorrect
The patient has an incidental finding of a large 7.6 cm calcified abdominal aortic aneurysm (AAA). This is a very unstable aneurysm and his lower back pain raises concern of a leaky AAA so the best choice of initial management is an urgent trip to the emergency room for a CT angiogram. An abdominal aorta enlarged greater than 3 cm in diameter is considered abnormal and aneurysmal. An AAA is commonly asymptomatic and rupture carries a 90% mortality rate. Occasionally an AAA can cause lower back and flank pain so orthopedic providers should keep the diagnosis as part of a broad differential. Lateral xrays may show a large calcified mass, as was the case with this patient, so it is critical to look at the entire xray and not just spinal abnormalities. Smaller, 3.5 cm -4.4 cm AAA can be monitored yearly for expansion with an ultrasound. AAA up to 5.4 cm should be monitored every 6 months while larger aneurysms should be repaired. As aneurysms grow the risk of rupture also increases. AAA’s greater than 7 cm in diameter have a 32.5% one year incidence of rupture. The treatment of choice for unstable AAA is an endovascular repair that involves introducing a stent through the femoral and iliac arteries. 1,2
Answer D.
References
1. Kent KC. Abdominal aortic aneurysms. New England Journal of Medicine. 2014 Nov 27;371(22):2101-8.
2. Silverstein MD, Pitts SR, Chaikof EL, Ballard DJ. Abdominal aortic aneurysm (AAA): cost-effectiveness of screening, surveillance of intermediate-sized AAA, and management of
symptomatic AAA. InBaylor University Medical Center Proceedings 2005 Oct 1 (Vol. 18, No. 4, pp. 345-367). Taylor & Francis.
-
Question 10 of 43
10. Question

A 40 year old female presents to your office with a left thumb deformity for 8 weeks. She originally injured the thumb when she jammed it against the steering wheel during an MVA. She was seen the day of injury and her thumb xrays were negative for a fracture but she was unable to extend her interphalangeal joint (IP). She was diagnosed with a mallet thumb and placed in an extension splint, which she wore at all times for 6 weeks. When she removed the splint at 6 weeks her IP joint fell back into flexion and she still can’t extend her IP joint like her right thumb (figure 1). She would like to improve on IP extension as the deformity is unsettling for her. What is the next best step in treatment?
Correct
Mallet thumb injuries are relatively uncommon as they account for only 2-3% of all mallet finger injuries. Initial treatment for a soft tissue mallet thumb is an extension splint for the IP joint at all times for 6 weeks to allow for the terminal tendon to re-attach to the distal phalanx. Most (over 80%) of patients will have a good result with splinting. Some residual extension lag after splinting is common and difficult to approve upon. If the extension lag remains significant, patients can restart splinting for additional 6 weeks (which is often successful in improving extension) or consider surgical treatment. It is important to educate patients that functionally, flexion of the interphalangeal joint of the thumb and distal interphalangeal joint of the finger is much more important than extension for functional use such as pincer grip and grasping objects. A lack of full extension of 10 degrees or less is generally well tolerated. Surgical management may be considered with a significant extension lag that can’t be corrected with splinting. Surgery often includes direct repair of the extensor tendon with a trans-articular pin to keep the joint in extension for 6 weeks. Surgery is not without complications as a tendon repair causes a greater post-operative loss of IP flexion compared to conservative treatment.
Answer B.
References
1. Hirslund E, Patience C, Hang P, Dabbagh A, Szekeres M. Comparative Outcomes Between Surgical and Conservative Management of Mallet Thumb: A Systematic Review and Pooled Analysis. HAND. 2024 Nov 13:15589447241291600.
2. Lin JS, Samora JB. Surgical and nonsurgical management of mallet finger: a systematic review. The Journal of hand surgery. 2018 Feb 1;43(2):146-63.
Incorrect
Mallet thumb injuries are relatively uncommon as they account for only 2-3% of all mallet finger injuries. Initial treatment for a soft tissue mallet thumb is an extension splint for the IP joint at all times for 6 weeks to allow for the terminal tendon to re-attach to the distal phalanx. Most (over 80%) of patients will have a good result with splinting. Some residual extension lag after splinting is common and difficult to approve upon. If the extension lag remains significant, patients can restart splinting for additional 6 weeks (which is often successful in improving extension) or consider surgical treatment. It is important to educate patients that functionally, flexion of the interphalangeal joint of the thumb and distal interphalangeal joint of the finger is much more important than extension for functional use such as pincer grip and grasping objects. A lack of full extension of 10 degrees or less is generally well tolerated. Surgical management may be considered with a significant extension lag that can’t be corrected with splinting. Surgery often includes direct repair of the extensor tendon with a trans-articular pin to keep the joint in extension for 6 weeks. Surgery is not without complications as a tendon repair causes a greater post-operative loss of IP flexion compared to conservative treatment.
Answer B.
References
1. Hirslund E, Patience C, Hang P, Dabbagh A, Szekeres M. Comparative Outcomes Between Surgical and Conservative Management of Mallet Thumb: A Systematic Review and Pooled Analysis. HAND. 2024 Nov 13:15589447241291600.
2. Lin JS, Samora JB. Surgical and nonsurgical management of mallet finger: a systematic review. The Journal of hand surgery. 2018 Feb 1;43(2):146-63.
-
Question 11 of 43
11. Question

A 46 year old male presents to your office with a 6 week history of left hip pain. He notices the pain more with hip flexion including stepping up stairs and running. He denies a known injury or precipitating event. The pain has become worse over the last few weeks. On physical exam he has pain with hip flexion against resistance. There is no weakness and no pain with passive hip flexion and internal rotation. AP and lateral view xrays of the left hip are shown in figures 1 and 2. What is the most likely diagnosis?
Correct
Calcific tendinitis is characterized by a deposition of calcium phosphate crystals within tendons or surrounding tissues that often causes inflammation and pain. The etiology of calcific tendinitis is unknown. The most common location for calcific tendinitis is the shoulder followed by the hip as the second most common site. The greater trochanter and the gluteus medius and minimus tendons are the most common sites at the hip and the rectus femoris (hip flexor) is rarely involved. The natural course of calcium tendinitis is a slow resorption over 2-4 months which can be seen as a decreasing size of the calcium deposit on xray. In most cases, symptoms will resolve before 6 months of conservative treatment. Calcific tendinitis can be treated successfully with a period of rest and oral NSAIDs in most cases. If pain is severe and unrelenting, a steroid injection into the calcium deposit can help with symptom relief. If symptoms persist for over 4-6 months, surgical removal may be necessary. The origin site for the rectus femoris tendon is the anterior inferior iliac spine (where this patients calcium deposit is located) whereas the origin sites for the biceps femoris and sartorius are the ischial tuberosity and the anterior superior iliac spine, respectively. Generally avulsion fractures of the anterior inferior iliac spine occur in the adolescent population (before skeletal maturity). 1,2
Answer A.
References
1. Park SM, Baek JH, Ko YB, Lee HJ, Park KJ, Ha YC. Management of acute calcific tendinitis around the hip joint. The American Journal of Sports Medicine. 2014 Nov;42(11):2659-65.
2. Pierannunzii L, Tramontana F, Gallazzi M. Case report: calcific tendinitis of the rectus femoris: a rare cause of snapping hip. Clin Orthop Relat Res. 2010 Oct;468(10):2814-8. doi: 10.1007/s11999-009-1208-9. Epub 2010 Jan 7. PMID: 20054675; PMCID: PMC3049605.
Incorrect
Calcific tendinitis is characterized by a deposition of calcium phosphate crystals within tendons or surrounding tissues that often causes inflammation and pain. The etiology of calcific tendinitis is unknown. The most common location for calcific tendinitis is the shoulder followed by the hip as the second most common site. The greater trochanter and the gluteus medius and minimus tendons are the most common sites at the hip and the rectus femoris (hip flexor) is rarely involved. The natural course of calcium tendinitis is a slow resorption over 2-4 months which can be seen as a decreasing size of the calcium deposit on xray. In most cases, symptoms will resolve before 6 months of conservative treatment. Calcific tendinitis can be treated successfully with a period of rest and oral NSAIDs in most cases. If pain is severe and unrelenting, a steroid injection into the calcium deposit can help with symptom relief. If symptoms persist for over 4-6 months, surgical removal may be necessary. The origin site for the rectus femoris tendon is the anterior inferior iliac spine (where this patients calcium deposit is located) whereas the origin sites for the biceps femoris and sartorius are the ischial tuberosity and the anterior superior iliac spine, respectively. Generally avulsion fractures of the anterior inferior iliac spine occur in the adolescent population (before skeletal maturity). 1,2
Answer A.
References
1. Park SM, Baek JH, Ko YB, Lee HJ, Park KJ, Ha YC. Management of acute calcific tendinitis around the hip joint. The American Journal of Sports Medicine. 2014 Nov;42(11):2659-65.
2. Pierannunzii L, Tramontana F, Gallazzi M. Case report: calcific tendinitis of the rectus femoris: a rare cause of snapping hip. Clin Orthop Relat Res. 2010 Oct;468(10):2814-8. doi: 10.1007/s11999-009-1208-9. Epub 2010 Jan 7. PMID: 20054675; PMCID: PMC3049605.
-
Question 12 of 43
12. Question

A 60 year old male presents to your office with three months of right knee instability after a ski injury. He initially had a lot of pain and swelling but symptoms subsided over a month and he was walking relatively pain free. His biggest complaint now is the knee continues to give out on him when he is running and cutting. He is very active and still skis and plays men’s league soccer. Sagittal MRI image (figure 1) shows a proximal tear of the anterior cruciate ligament (ACL). The patient has heard of an ACL repair technique that may offer him a better result. Which statement is true regarding ACL repair?
Correct
ACL reconstruction is the gold standard surgical option for ACL tears. However, ACL surgery comes with a lengthy rehabilitation time and risk of surgical failure, most commonly a re-tear. ACL repairs were introduced around the 1970’s as a less invasive procedure to help reduce recovery time but early results showed a high complication rate. Unlike the MCL, the ACL has poor healing potential as the ligament fibers in a mid ligament tear do not come together to form a healing response and therefore these tears are not amenable to repair. A continuous flow of synovial fluid in the knee also forms around the torn tendon ends further preventing end to end healing. Recently, ACL repair of proximal tears (avulsion of the femoral attachment) has shown promising success rates. The biggest benefit to repair is preserving the patient’s ACL tissue with a less invasive procedure. The post operative course between an ACL repair and reconstruction is very similar. Both require bracing initially for the first 4-6 weeks until quadriceps strength returns. Walking without a brace typically begins at 6 weeks and running at 3 months. Return to play between the two surgical procedures is a controversial topic but most protocols have a similar return to play protocol at 6-9 months. With that said, ACL reconstruction is universally accepted as a better option for ACL tears given the high failure rate of ACL repair. The ideal patient for an ACL repair includes a low demand patient over 25 years of age with a proximal tear. 1,2
Answer B.
References
1. Hughes, Jonathan D. MD; Lawton, Cort D. MD; Nawabi, Danyal H. MD; Pearle, Andrew D. MD; Musahl, Volker MD. Anterior Cruciate Ligament Repair: The Current Status. The Journal
of Bone and Joint Surgery 102(21):p 1900-1915, November 4, 2020. | DOI: 10.2106/JBJS.20.00509
2. Heusdens CH. ACL repair: a game changer or will history repeat itself? A critical appraisal. Journal of Clinical Medicine. 2021 Feb 26;10(5):912.
Incorrect
ACL reconstruction is the gold standard surgical option for ACL tears. However, ACL surgery comes with a lengthy rehabilitation time and risk of surgical failure, most commonly a re-tear. ACL repairs were introduced around the 1970’s as a less invasive procedure to help reduce recovery time but early results showed a high complication rate. Unlike the MCL, the ACL has poor healing potential as the ligament fibers in a mid ligament tear do not come together to form a healing response and therefore these tears are not amenable to repair. A continuous flow of synovial fluid in the knee also forms around the torn tendon ends further preventing end to end healing. Recently, ACL repair of proximal tears (avulsion of the femoral attachment) has shown promising success rates. The biggest benefit to repair is preserving the patient’s ACL tissue with a less invasive procedure. The post operative course between an ACL repair and reconstruction is very similar. Both require bracing initially for the first 4-6 weeks until quadriceps strength returns. Walking without a brace typically begins at 6 weeks and running at 3 months. Return to play between the two surgical procedures is a controversial topic but most protocols have a similar return to play protocol at 6-9 months. With that said, ACL reconstruction is universally accepted as a better option for ACL tears given the high failure rate of ACL repair. The ideal patient for an ACL repair includes a low demand patient over 25 years of age with a proximal tear. 1,2
Answer B.
References
1. Hughes, Jonathan D. MD; Lawton, Cort D. MD; Nawabi, Danyal H. MD; Pearle, Andrew D. MD; Musahl, Volker MD. Anterior Cruciate Ligament Repair: The Current Status. The Journal
of Bone and Joint Surgery 102(21):p 1900-1915, November 4, 2020. | DOI: 10.2106/JBJS.20.00509
2. Heusdens CH. ACL repair: a game changer or will history repeat itself? A critical appraisal. Journal of Clinical Medicine. 2021 Feb 26;10(5):912.
-
Question 13 of 43
13. Question

A 43 year old male presents to your office with left upper back and left arm pain for the past month. He was lifting an object at work when it let go and his neck jerked back awkwardly. He had some neck discomfort for a week or so then the upper back and left arm pain began. He also gets occasional numbness and tingling int the small and ring finger on the left side. On physical exam his motor and sensation are intact in the left upper extremity. X-rays taken today show there to be no evidence of degenerative changes or fracture (figures 1 and 2). There is an incidental finding of a congenital C5-C6 fusion. This patient’s cervical fusion puts him at risk for which condition?
Correct
Congenital cervical fusion (CCF) is an uncommon condition occurring is less that 1% of the population. Most congenital cervical fusions are asymptomatic and found incidentally on Xray. CCF is also found in Klippel-Feil syndrome (KFS) which is a congenital disorder characterized by the classic triad of a short neck, low hairline, and limited neck range of motion. Cervical fusion can also be caused by trauma or conditions such as tuberculosis, infection, juvenile rheumatoid arthritis, diffuse idiopathic skeletal hyperostosis, and ankylosing spondylosis. Patients with CCF carry an increased risk of adjacent level cord compression and adjacent level degeneration. Thes risk factors are similar the postoperative risks of patients who undergo a cervical fusion. The lack of motion at the fused segment in the cervical spine causes the adjacent levels to compensate with increased stress and motion. This strain on the disk space and surrounding structures at adjacent levels increases the likelihood of intradiscal pressure, disc herniation, disc degeneration, and nerve root compression. The C5-C6 and C6-C7 levels are the most mobile segments of the cervical spine and have the highest rates of degeneration. 1,2
Answer A.
References
1. Nouri A, Martin AR, Lange SF, Kotter MRN, Mikulis DJ, Fehlings MG. Congenital Cervical Fusion as a Risk Factor for Development of Degenerative Cervical
Myelopathy. World Neurosurg. 2017 Apr;100:531-539. doi: 10.1016/j.wneu.2017.01.048. Epub 2017 Jan 24. PMID: 28130167.
2. Paraskevas GK, Noussios G, Koutsouflianiotis KN, Iliou K. Congenital synostosis of cervical vertebrae: an osteological study and review of the literature. Cureus. 2019 Oct 28;11(10).
Incorrect
Congenital cervical fusion (CCF) is an uncommon condition occurring is less that 1% of the population. Most congenital cervical fusions are asymptomatic and found incidentally on Xray. CCF is also found in Klippel-Feil syndrome (KFS) which is a congenital disorder characterized by the classic triad of a short neck, low hairline, and limited neck range of motion. Cervical fusion can also be caused by trauma or conditions such as tuberculosis, infection, juvenile rheumatoid arthritis, diffuse idiopathic skeletal hyperostosis, and ankylosing spondylosis. Patients with CCF carry an increased risk of adjacent level cord compression and adjacent level degeneration. Thes risk factors are similar the postoperative risks of patients who undergo a cervical fusion. The lack of motion at the fused segment in the cervical spine causes the adjacent levels to compensate with increased stress and motion. This strain on the disk space and surrounding structures at adjacent levels increases the likelihood of intradiscal pressure, disc herniation, disc degeneration, and nerve root compression. The C5-C6 and C6-C7 levels are the most mobile segments of the cervical spine and have the highest rates of degeneration. 1,2
Answer A.
References
1. Nouri A, Martin AR, Lange SF, Kotter MRN, Mikulis DJ, Fehlings MG. Congenital Cervical Fusion as a Risk Factor for Development of Degenerative Cervical
Myelopathy. World Neurosurg. 2017 Apr;100:531-539. doi: 10.1016/j.wneu.2017.01.048. Epub 2017 Jan 24. PMID: 28130167.
2. Paraskevas GK, Noussios G, Koutsouflianiotis KN, Iliou K. Congenital synostosis of cervical vertebrae: an osteological study and review of the literature. Cureus. 2019 Oct 28;11(10).
-
Question 14 of 43
14. Question

A 6-year-old male presents to your office with right small finger pain and deformity after jamming the finger in a fall a few hours ago. He had immediate onset of deformity and discomfort after the fall. On physical exam he has pain and swelling at the proximal phalanx of the small finger which looks ulnar deviated. AP, oblique, and lateral xrays (figures 1, 2, and 3, respectively) show a Salter Harris II fracture with approximately 15 degrees of angulation on the AP view. What is the best treatment option for this patient?
Correct
Pediatric finger fractures are very common injuries so an understanding of how to manage these fractures is a critical skill in urgent care and emergency room settings. Most pediatric finger fractures occur in the proximal phalanx and rarely do they require surgical management. Deformities such as finger rotation or deviation may require a closed reduction. Fracture deformity causing finger rotation should be corrected as this can cause over lapping of adjacent fingers when patients make a fist or grasp an object. Pediatric patients have tremendous remodeling potential that often corrects deformities over time. Remodeling occurs best in the plan of motion so deformities in the sagittal plane (flexion and extension) are more likely to correct than deformities in the coronal plane (abduction and adduction). General indications for closed reduction include obvious deformity on exam, finger rotation causing overlapping fingers (scissoring), and >10 degrees of angulation in the coronal plane. Reduction should be performed within the first week of injury as the fractures heal quickly. Closed reduction is often performed in the office after a digital block and ideally with a mini C-arm (fluoroscopy) if available to confirm reduction. The finger should be immobilized for 3-4 weeks after closed reduction and then motion should be started thereafter. 1,2
Answer C.
References
1. Schutz, John BS; Korrell, Hannah BS; Look, Nicole MD; Lalka, Andy MPH; Hild, Johanna BS; Cleary, Gabriela BS; Sinclair, Micah K. MD; Sibbel, Sarah E. MD. Outcomes of Pediatric
Proximal Phalanx Base Fractures. Journal of the American Academy of Orthopaedic Surgeons 32(9):p e434-e442, May 1, 2024. | DOI: 10.5435/JAAOS-D-22-00940
2. Cornwall R, Ricchetti ET. Pediatric phalanx fractures: unique challenges and pitfalls. Clinical Orthopaedics and Related Research (1976-2007). 2006 Apr 1;445:146-56.
Incorrect
Pediatric finger fractures are very common injuries so an understanding of how to manage these fractures is a critical skill in urgent care and emergency room settings. Most pediatric finger fractures occur in the proximal phalanx and rarely do they require surgical management. Deformities such as finger rotation or deviation may require a closed reduction. Fracture deformity causing finger rotation should be corrected as this can cause over lapping of adjacent fingers when patients make a fist or grasp an object. Pediatric patients have tremendous remodeling potential that often corrects deformities over time. Remodeling occurs best in the plan of motion so deformities in the sagittal plane (flexion and extension) are more likely to correct than deformities in the coronal plane (abduction and adduction). General indications for closed reduction include obvious deformity on exam, finger rotation causing overlapping fingers (scissoring), and >10 degrees of angulation in the coronal plane. Reduction should be performed within the first week of injury as the fractures heal quickly. Closed reduction is often performed in the office after a digital block and ideally with a mini C-arm (fluoroscopy) if available to confirm reduction. The finger should be immobilized for 3-4 weeks after closed reduction and then motion should be started thereafter. 1,2
Answer C.
References
1. Schutz, John BS; Korrell, Hannah BS; Look, Nicole MD; Lalka, Andy MPH; Hild, Johanna BS; Cleary, Gabriela BS; Sinclair, Micah K. MD; Sibbel, Sarah E. MD. Outcomes of Pediatric
Proximal Phalanx Base Fractures. Journal of the American Academy of Orthopaedic Surgeons 32(9):p e434-e442, May 1, 2024. | DOI: 10.5435/JAAOS-D-22-00940
2. Cornwall R, Ricchetti ET. Pediatric phalanx fractures: unique challenges and pitfalls. Clinical Orthopaedics and Related Research (1976-2007). 2006 Apr 1;445:146-56.
-
Question 15 of 43
15. Question

A 20 year old male presents to your office with a 3 month history of let wrist pain. The pain started after a hard check swing during a baseball game. Initial wrist xrays were read as negative for a fracture. He was treated for 4 weeks in a wrist splint but the pain returned when he started to swing a bat again. CT of the wrist done one week ago shows a displaced hook of hamate fracture (figure 1). He is an avid baseball player and would like to return as soon as possible. What would be the best treatment option?
Correct
The hamate bone is located at the ulnar side of the wrist along the distal carpal row. The hook of the hamate is a bony projection extending toward the palmar side of the hand which acts as an attachment site for muscles and ligaments of the palm. Fractures of the hamate are uncommon and represent 2-4% of all carpal fractures. Hook of hamate fractures can a occur with a direct blow to the palm from a fall or a sudden stop while grasping an object such as grounding a golf club or checking a baseball bat. The diagnosis is often missed initially as these fractures can be difficult to see on xray. MRI is often the first study to find the fracture as MRI helps rule out other soft tissue causes of wrist pain. CT scan offers the most fracture detail and can see as little as 1 mm of displacement. The most common symptom of a hook of hamate fracture is pain with grasping objects and the pain is classically aggravated during sports such as tennis, baseball, and golf. Casting for 6 weeks is often the first line of treatment, however up to 50% of these fractures will go on to non-union. For fractures that have failed a period of immobilization, the treatment that offers the most predictable pain relief and quickest return to pre-injury activities is excision of the fracture fragment. The current literature on return to play after open reduction and internal fixation is less predictable.
Answer D.
References
1. Kadar A, Bishop AT, Suchyta MA, Moran SL. Diagnosis and management of hook of hamate fractures. Journal of Hand Surgery (European Volume). 2018 Jun;43(5):539-45.
2. Devers BN, Douglas KC, Naik RD, Lee DH, Watson JT, Weikert DR. Outcomes of hook of hamate fracture excision in high-level amateur athletes. The Journal of Hand Surgery. 2013 Jan 1;38(1):72-6.
Incorrect
The hamate bone is located at the ulnar side of the wrist along the distal carpal row. The hook of the hamate is a bony projection extending toward the palmar side of the hand which acts as an attachment site for muscles and ligaments of the palm. Fractures of the hamate are uncommon and represent 2-4% of all carpal fractures. Hook of hamate fractures can a occur with a direct blow to the palm from a fall or a sudden stop while grasping an object such as grounding a golf club or checking a baseball bat. The diagnosis is often missed initially as these fractures can be difficult to see on xray. MRI is often the first study to find the fracture as MRI helps rule out other soft tissue causes of wrist pain. CT scan offers the most fracture detail and can see as little as 1 mm of displacement. The most common symptom of a hook of hamate fracture is pain with grasping objects and the pain is classically aggravated during sports such as tennis, baseball, and golf. Casting for 6 weeks is often the first line of treatment, however up to 50% of these fractures will go on to non-union. For fractures that have failed a period of immobilization, the treatment that offers the most predictable pain relief and quickest return to pre-injury activities is excision of the fracture fragment. The current literature on return to play after open reduction and internal fixation is less predictable.
Answer D.
References
1. Kadar A, Bishop AT, Suchyta MA, Moran SL. Diagnosis and management of hook of hamate fractures. Journal of Hand Surgery (European Volume). 2018 Jun;43(5):539-45.
2. Devers BN, Douglas KC, Naik RD, Lee DH, Watson JT, Weikert DR. Outcomes of hook of hamate fracture excision in high-level amateur athletes. The Journal of Hand Surgery. 2013 Jan 1;38(1):72-6.
-
Question 16 of 43
16. Question

A 22 year old male presents to your office with a self-inflicted gun shot wound to the left hand he sustained a few hours earlier. He was cleaning his gun when it accidentally went off sending a single BB, or a small round metallic object, into his hand. Ap and lateral xrays of the left hand are shown in figures 1 and 2. On physical exam there is a small entry wound to the palm of the hand between the 3rd and 4th metacarpals shafts. The entry site is clean and there is no site of the BB when cleaning the wound. There is no exit wound. Other than some mild pain with hand motion, he has full function of the hand. What is the best treatment option?
Correct
Retained foreign bodies in the hand can be a difficult problem to treat. Knowing what material is safe for observation and what material is likely to cause complications is critical as the failure to treat or diagnose retained foreign bodies in the hand is a common claim for malpractice carriers. Foreign bodies from organic material such as plants, bite wounds, wood, and marine creatures are more likely to cause complications, most commonly an infection. Non-biological material such as glass, metal, and plastics are less likely to cause tissue reaction or infection. Superficial foreign bodies can generally be removed with local anesthesia and wound exploration in the emergency or urgent care setting. General indications for surgical removal of deeper foreign bodies include neurovascular injury, tendon laceration, cosmetic deformity, pain with motion, and loss of function. Deep metallic objects that are small (such as a BB or shrapnel) that aren’t causing pain or loss of function can be generally treated with observation. An small inert metallic foreign body poses minimal risk to surrounding soft tissues and neurovascular structures. Patients should be educated that removal of deep foreign bodies can require surgical exploration that can damage surrounding tissue resulting in more pain than leaving the object in place.
Answer A.
References
1. Potini VC, Francisco R, Shamian B, Tan V. Sequelae of foreign bodies in the wrist and hand. Hand. 2013 Mar;8(1):77-81.
2. Eylon S, Mosheiff R, Liebergall M, Wolf E, Brocke L, Peyser A. Delayed reaction to shrapnel retained in soft tissue. Injury. 2005 Feb 1;36(2):275-81.
Incorrect
Retained foreign bodies in the hand can be a difficult problem to treat. Knowing what material is safe for observation and what material is likely to cause complications is critical as the failure to treat or diagnose retained foreign bodies in the hand is a common claim for malpractice carriers. Foreign bodies from organic material such as plants, bite wounds, wood, and marine creatures are more likely to cause complications, most commonly an infection. Non-biological material such as glass, metal, and plastics are less likely to cause tissue reaction or infection. Superficial foreign bodies can generally be removed with local anesthesia and wound exploration in the emergency or urgent care setting. General indications for surgical removal of deeper foreign bodies include neurovascular injury, tendon laceration, cosmetic deformity, pain with motion, and loss of function. Deep metallic objects that are small (such as a BB or shrapnel) that aren’t causing pain or loss of function can be generally treated with observation. An small inert metallic foreign body poses minimal risk to surrounding soft tissues and neurovascular structures. Patients should be educated that removal of deep foreign bodies can require surgical exploration that can damage surrounding tissue resulting in more pain than leaving the object in place.
Answer A.
References
1. Potini VC, Francisco R, Shamian B, Tan V. Sequelae of foreign bodies in the wrist and hand. Hand. 2013 Mar;8(1):77-81.
2. Eylon S, Mosheiff R, Liebergall M, Wolf E, Brocke L, Peyser A. Delayed reaction to shrapnel retained in soft tissue. Injury. 2005 Feb 1;36(2):275-81.
-
Question 17 of 43
17. Question

A 14 year old female presents to your clinic with a slow growing mass located on the dorsum of her right hand for the “several years”. The mass is asymptomatic and doesn’t affect her hand function. The patient and parents are concerned this lesion could be cancer but admit it doesn’t bother her at all. Figure 1 shows a picture of the 2-3 cm mass and figure 2 shows the mass is compressible and mobile to the touch. What is the best treatment option?
Correct
Congenital vascular anomalies of the hand are common, and are only behind ganglion cysts, giant cell tumors, and epidermoid inclusion cysts in terms of most common masses in the hand. Hemangiomas and vascular malformations are the two most common congenital vascular anomalies of the hand and are often confused from each other. Hemangiomas are common benign tumors composed of blood vessels that appear as a strawberry like tumor within the first 4 weeks of life. These lesions slowly shrink and mostly disappear by age 7, generally leaving behind an area of depigmentation and inelastic skin. Vascular malformations are abnormally developed blood vessels which can be venous, arterial, and lymphatic. This patient presents with a soft, compressible mass with a purplish discoloration consistent with a venous malformation (VM). Hormones can influence VMs which can cause growth during puberty. Treatment of venous malformations is difficult and rarely curable. Initial treatment should be conservative with observation. For symptomatic lesions, a diagnostic work-up and further treatment may be necessary. If the diagnosis is in question, MRI and ultrasound can help confirm the diagnosis. MRI is the study of choice to determine the characteristics of the mass and the relationship with surrounding structures. An ultrasound helps distinguish between the fast blood flow of a hemangioma vs. the slow blood flow of a venous malformation. Compression garments and low dose aspirin can help reduce pain and thrombosis in extensive lesions. Percutaneous sclerotherapy is often used to diminish the size of the lesion. Surgical excision is usually reserved for large diffuse lesions as post operative complications are common including persistent swelling and edema.
Answer A.
References
1. Park UJ, Do YS, Park KB, Park HS, Kim YW, Lee BB, Kim DI. Treatment of arteriovenous malformations involving the hand. Annals of vascular surgery. 2012 Jul 1;26(5):643-8.
2. Beijnen UE, Saldanha F, Ganske I, Upton J, Taghinia AH. Verrucous venous malformations of the hand. Journal of Hand Surgery (European Volume). 2019 Oct;44(8):850-5.
Incorrect
Congenital vascular anomalies of the hand are common, and are only behind ganglion cysts, giant cell tumors, and epidermoid inclusion cysts in terms of most common masses in the hand. Hemangiomas and vascular malformations are the two most common congenital vascular anomalies of the hand and are often confused from each other. Hemangiomas are common benign tumors composed of blood vessels that appear as a strawberry like tumor within the first 4 weeks of life. These lesions slowly shrink and mostly disappear by age 7, generally leaving behind an area of depigmentation and inelastic skin. Vascular malformations are abnormally developed blood vessels which can be venous, arterial, and lymphatic. This patient presents with a soft, compressible mass with a purplish discoloration consistent with a venous malformation (VM). Hormones can influence VMs which can cause growth during puberty. Treatment of venous malformations is difficult and rarely curable. Initial treatment should be conservative with observation. For symptomatic lesions, a diagnostic work-up and further treatment may be necessary. If the diagnosis is in question, MRI and ultrasound can help confirm the diagnosis. MRI is the study of choice to determine the characteristics of the mass and the relationship with surrounding structures. An ultrasound helps distinguish between the fast blood flow of a hemangioma vs. the slow blood flow of a venous malformation. Compression garments and low dose aspirin can help reduce pain and thrombosis in extensive lesions. Percutaneous sclerotherapy is often used to diminish the size of the lesion. Surgical excision is usually reserved for large diffuse lesions as post operative complications are common including persistent swelling and edema.
Answer A.
References
1. Park UJ, Do YS, Park KB, Park HS, Kim YW, Lee BB, Kim DI. Treatment of arteriovenous malformations involving the hand. Annals of vascular surgery. 2012 Jul 1;26(5):643-8.
2. Beijnen UE, Saldanha F, Ganske I, Upton J, Taghinia AH. Verrucous venous malformations of the hand. Journal of Hand Surgery (European Volume). 2019 Oct;44(8):850-5.
-
Question 18 of 43
18. Question

A 33 year old male presents to your office with right shoulder pain after falling off his dirt bike 2 days ago. He lost control of the bike and fell backwards landing directly on the right shoulder. He has immediate pain and has not been able to lift the right arm since the injury. He denies any numbness in right upper extremity. On physical exam he is tender to palpation over the posterior scapula and he has very limited forward elevation of the right arm. Three view trauma xrays of the right shoulder and scapular are shown in figures 1, 2, and 3. What is the fracture pattern commonly referred to as?
Correct
Scapular fractures are uncommon injuries that usually occur with a high energy trauma such as a motor vehicle accident or a fall from a height. The scapular is a dynamic stabilizer of the shoulder complex and an important attachment site for the muscles, tendons, and ligaments of the shoulder. Fractures of the scapular are described by the location of fracture including scapular neck, body, glenoid, acromial, and coracoid. Intra-articular displacement of glenoid fractures and >1 cm displacement of scapular neck and body fractures are considered unstable and a CT scan should be ordered for a 3 dimension look at the fracture pattern. Double lesions of the superior shoulder suspensory complex or the so called “floating shoulder” is another unstable fracture pattern that involves a fracture of scapular neck and ipsilateral clavicle. Treatment of scapular neck fractures is controversial but general indications for surgical fixation include displacement >1cm and/or a significant angular deformity. Non operative treatment involves a sling for 2-3 weeks with weekly serial xrays until fracture consolidation occurs. Subsiding pain correlates with clinical healing so range of motion is progressed to tolerance. 1,2
Answer D.
References
1. Cole PA, Freeman G, Dubin JR. Scapula fractures. Current Reviews in Musculoskeletal Medicine. 2013 Mar;6:79-87.
2. Goss TP. Scapular fractures and dislocations: diagnosis and treatment. JAAOS-Journal of the American Academy of Orthopaedic Surgeons. 1995 Jan 1;3(1):22-33.
Incorrect
Scapular fractures are uncommon injuries that usually occur with a high energy trauma such as a motor vehicle accident or a fall from a height. The scapular is a dynamic stabilizer of the shoulder complex and an important attachment site for the muscles, tendons, and ligaments of the shoulder. Fractures of the scapular are described by the location of fracture including scapular neck, body, glenoid, acromial, and coracoid. Intra-articular displacement of glenoid fractures and >1 cm displacement of scapular neck and body fractures are considered unstable and a CT scan should be ordered for a 3 dimension look at the fracture pattern. Double lesions of the superior shoulder suspensory complex or the so called “floating shoulder” is another unstable fracture pattern that involves a fracture of scapular neck and ipsilateral clavicle. Treatment of scapular neck fractures is controversial but general indications for surgical fixation include displacement >1cm and/or a significant angular deformity. Non operative treatment involves a sling for 2-3 weeks with weekly serial xrays until fracture consolidation occurs. Subsiding pain correlates with clinical healing so range of motion is progressed to tolerance. 1,2
Answer D.
References
1. Cole PA, Freeman G, Dubin JR. Scapula fractures. Current Reviews in Musculoskeletal Medicine. 2013 Mar;6:79-87.
2. Goss TP. Scapular fractures and dislocations: diagnosis and treatment. JAAOS-Journal of the American Academy of Orthopaedic Surgeons. 1995 Jan 1;3(1):22-33.
-
Question 19 of 43
19. Question

An 8 year old girl presents to your office with right elbow pain after falling off the monkey bars at the playground a few hours ago. She had immediate right elbow pain after the fall and has been unable to move the arm since. AP and lateral xrays show a displaced radial neck fracture (Figures 1 and 2). The fracture angulation appears to be just under 30 degrees. What is the best treatment option?
Correct
Radial neck fractures are a common pediatric injury as kids frequently fall with an extended elbow when bracing for impact. The radial head begins to ossify between the ages of 3 and 5 years and the radial head fuses with the radial shaft between the ages of 14 and 17 years. A stable radial-capitellar joint is critical for elbow stability including motion that places a valgus stress to the elbow. Significant displacement of a radial neck fracture can cause long term elbow instability and loss of elbow motion. Factors that determine treatment include the degree of angulation, amount of translation, and patient age. Patients under the age of 10 can accept more displacement and rarely need surgery. Indications for surgical treatment include greater than 30 degrees of angulation and over 50% translation of the fracture. The most common complication of all elbow fractures is elbow stiffness so patients are encouraged to move their elbow early. Initial non-operative treatment includes a cast, splint, or sling to the elbow for 1-2 weeks followed by getting out of the sling frequently thereafter to work on motion. In general, with pediatric patients, elbows should not be immobilized for longer than 2-3 weeks. Surgical treatment includes closed reduction alone, closed reduction with percutaneous pinning, and if those methods fail, open reduction
Answer A.
References
1. Falciglia F, Giordano M, Aulisa AG, Di Lazzaro A, Guzzanti V. Radial neck fractures in children: results when open reduction is indicated. Journal of Pediatric Orthopaedics. 2014 Dec 1;34(8):756-62.
2. De Mattos CB, Ramski DE, Kushare IV, Angsanuntsukh C, Flynn JM. Radial neck fractures in children and adolescents: an examination of operative and nonoperative treatment and outcomes. Journal of Pediatric Orthopaedics. 2016 Jan 1;36(1):6-12.
Incorrect
Radial neck fractures are a common pediatric injury as kids frequently fall with an extended elbow when bracing for impact. The radial head begins to ossify between the ages of 3 and 5 years and the radial head fuses with the radial shaft between the ages of 14 and 17 years. A stable radial-capitellar joint is critical for elbow stability including motion that places a valgus stress to the elbow. Significant displacement of a radial neck fracture can cause long term elbow instability and loss of elbow motion. Factors that determine treatment include the degree of angulation, amount of translation, and patient age. Patients under the age of 10 can accept more displacement and rarely need surgery. Indications for surgical treatment include greater than 30 degrees of angulation and over 50% translation of the fracture. The most common complication of all elbow fractures is elbow stiffness so patients are encouraged to move their elbow early. Initial non-operative treatment includes a cast, splint, or sling to the elbow for 1-2 weeks followed by getting out of the sling frequently thereafter to work on motion. In general, with pediatric patients, elbows should not be immobilized for longer than 2-3 weeks. Surgical treatment includes closed reduction alone, closed reduction with percutaneous pinning, and if those methods fail, open reduction
Answer A.
References
1. Falciglia F, Giordano M, Aulisa AG, Di Lazzaro A, Guzzanti V. Radial neck fractures in children: results when open reduction is indicated. Journal of Pediatric Orthopaedics. 2014 Dec 1;34(8):756-62.
2. De Mattos CB, Ramski DE, Kushare IV, Angsanuntsukh C, Flynn JM. Radial neck fractures in children and adolescents: an examination of operative and nonoperative treatment and outcomes. Journal of Pediatric Orthopaedics. 2016 Jan 1;36(1):6-12.
-
Question 20 of 43
20. Question

A 50 year old female presents to your office with complaints of right foot weakness for 2-3 weeks. She had previous mild lower back pain and radiating pain down the right leg about a month ago but that has since resolved. She denies any history of back surgery or peripheral nerve problems. On physical exam she is unable to dorsiflex her right foot and has weakness with her extensor hallucis longus and anterior tibialis muscles. Her gastrocnemius, posterior tibialis, and quadriceps muscles are intact. Sagittal MRI of the lumbar spine (figures 1 and 2) show severe bilateral foraminal stenosis at L4-L5 and L5-S1. Which statement below is true regarding the best treatment for her right foot drop?
Correct
An acute foot drop is characterized by weakness of the anterior tibialis, extensor hallucis, longus and extensor digitorum longus muscles which causes an inability to lift (dorsiflex) the foot. A common cause of a foot drop is from pathology of the common peroneal nerve. Pain to palpation and a positive Tinel’s over the fibular head raises suspicion of a peroneal nerve lesion. A foot drop is also commonly due to lumbar spine pathology including spinal stenosis and a lumbar disc herniation. Weakness with hamstring, gastrocnemius, and tibialis posterior muscle groups often occurs with lumbar spine pathology but generally not with peroneal pathology. Testing foot inversion strength is also a key differentiator as an acute peroneal neuropathy does not typically have foot inversion weakness, whereas an L5 radiculopathy does. Patients may have associated lumbar radiculopathy with the foot drop or have no pain at all. MRI of the lumbar spine should be performed on an urgent basis to identify a cause. If the clinical picture remains uncertain, electromyography studies can help rule out causes in the differential. Initial treatment involves physical therapy and ankle foot orthosis (AFO) to help with ambulation. Lumbar steroid injections can offer some relief of pain and potentially improvement in foot strength. The benefit and timing of surgery for lumbar causes of a foot drop is controversial as patients can improve with conservative treatment. For severe foot drop that fails to improve with conservative treatment after 2 months, surgical decompression is generally recommended. 1,2
Answer B.
References
1. Dong K, Reyes JL, Mastroianni MA, Coury JR, Sevensky R, Hassan FM, Lombardi JM, Popkin CA, Chien BY, Lenke LG, Sardar ZM. Foot Drop in Orthopaedic Surgery: Anatomy, Etiology, Differential Diagnosis, and Treatment. JBJS Rev. 2025 May 22;13(5). doi: 10.2106/JBJS.RVW.24.00170. PMID: 40403122.
2. Wang Y, Nataraj A. Foot drop resulting from degenerative lumbar spinal diseases: clinical characteristics and prognosis. Clinical neurology and neurosurgery. 2014 Feb 1;117:33-9.
Incorrect
An acute foot drop is characterized by weakness of the anterior tibialis, extensor hallucis, longus and extensor digitorum longus muscles which causes an inability to lift (dorsiflex) the foot. A common cause of a foot drop is from pathology of the common peroneal nerve. Pain to palpation and a positive Tinel’s over the fibular head raises suspicion of a peroneal nerve lesion. A foot drop is also commonly due to lumbar spine pathology including spinal stenosis and a lumbar disc herniation. Weakness with hamstring, gastrocnemius, and tibialis posterior muscle groups often occurs with lumbar spine pathology but generally not with peroneal pathology. Testing foot inversion strength is also a key differentiator as an acute peroneal neuropathy does not typically have foot inversion weakness, whereas an L5 radiculopathy does. Patients may have associated lumbar radiculopathy with the foot drop or have no pain at all. MRI of the lumbar spine should be performed on an urgent basis to identify a cause. If the clinical picture remains uncertain, electromyography studies can help rule out causes in the differential. Initial treatment involves physical therapy and ankle foot orthosis (AFO) to help with ambulation. Lumbar steroid injections can offer some relief of pain and potentially improvement in foot strength. The benefit and timing of surgery for lumbar causes of a foot drop is controversial as patients can improve with conservative treatment. For severe foot drop that fails to improve with conservative treatment after 2 months, surgical decompression is generally recommended. 1,2
Answer B.
References
1. Dong K, Reyes JL, Mastroianni MA, Coury JR, Sevensky R, Hassan FM, Lombardi JM, Popkin CA, Chien BY, Lenke LG, Sardar ZM. Foot Drop in Orthopaedic Surgery: Anatomy, Etiology, Differential Diagnosis, and Treatment. JBJS Rev. 2025 May 22;13(5). doi: 10.2106/JBJS.RVW.24.00170. PMID: 40403122.
2. Wang Y, Nataraj A. Foot drop resulting from degenerative lumbar spinal diseases: clinical characteristics and prognosis. Clinical neurology and neurosurgery. 2014 Feb 1;117:33-9.
-
Question 21 of 43
21. Question

A 60 male presents to your office with a progressive right middle finger deformity 4 weeks after jamming his finger after a fall. He was originally seen in urgent care where a lateral xray showed a small capsule avulsion fracture off the proximal phalanx (figure 1). He did not seek further treatment but his finger has become increasingly stiff and painful. Figures 2 and 3 show Boutonniere deformity. Injury to which structure is the cause of this deformity?
Correct
A boutonniere deformity is characterized by hyperflexion at the proximal interphalangeal (PIP) joint with extension at the distal interphalangeal (DIP) joint. The deformity is caused by a rupture of the central slip over the PIP joint. This injury is often a result of a finger laceration, traumatic avulsion fracture (jammed finger), or from rheumatoid arthritis. When the central slip tears, the lateral bands sublux in a volar direction causing the PIP joint to flex. A boutonniere deformity is very difficult to treat and often results in some form of permanent deformity. Treatment involves splinting the PIP joint in full extension to allow for the central slip to heal. Occupational therapy should be initiated early for supervised range of motion and education on home exercises. Patients can expect several months of splinting and therapy with improvement, but some residual deformity is common. Surgical indications include open lacerations to the central slip and deformities that fail conservative treatment. Central slip lacerations can be repaired with an open procedure, the lateral bands can be relocated or reconstructed, and PIP joint can be fused surgically. 1,2
Answer D.
References
1. Tong Y, Donnelly M, Paksima N. Nonoperative treatment of the Boutonniere deformity: Is there a difference in outcomes?. Journal of Hand Therapy. 2025 Apr 23.
2. Binstead JT, Tafti D, Hatcher JD. Boutonniere Deformity. [Updated 2023 Aug 7]. In: StatPearls [Internet]. Treasure Island (FL): StatPearls Publishing; 2025 Jan-. Available from: https://www.ncbi.nlm.nih.gov/books/NBK470323/
Incorrect
A boutonniere deformity is characterized by hyperflexion at the proximal interphalangeal (PIP) joint with extension at the distal interphalangeal (DIP) joint. The deformity is caused by a rupture of the central slip over the PIP joint. This injury is often a result of a finger laceration, traumatic avulsion fracture (jammed finger), or from rheumatoid arthritis. When the central slip tears, the lateral bands sublux in a volar direction causing the PIP joint to flex. A boutonniere deformity is very difficult to treat and often results in some form of permanent deformity. Treatment involves splinting the PIP joint in full extension to allow for the central slip to heal. Occupational therapy should be initiated early for supervised range of motion and education on home exercises. Patients can expect several months of splinting and therapy with improvement, but some residual deformity is common. Surgical indications include open lacerations to the central slip and deformities that fail conservative treatment. Central slip lacerations can be repaired with an open procedure, the lateral bands can be relocated or reconstructed, and PIP joint can be fused surgically. 1,2
Answer D.
References
1. Tong Y, Donnelly M, Paksima N. Nonoperative treatment of the Boutonniere deformity: Is there a difference in outcomes?. Journal of Hand Therapy. 2025 Apr 23.
2. Binstead JT, Tafti D, Hatcher JD. Boutonniere Deformity. [Updated 2023 Aug 7]. In: StatPearls [Internet]. Treasure Island (FL): StatPearls Publishing; 2025 Jan-. Available from: https://www.ncbi.nlm.nih.gov/books/NBK470323/
-
Question 22 of 43
22. Question

A 21 year old female presents to the office with a right small finger deformity and pain for the last 5 weeks. She was playing in a rugby game when she jammed her finger 4 weeks ago. She had immediate pain and swelling but did not seek treatment. Over the last 2-3 weeks the small finger has started to get stiff and she is now having trouble grasping objects. On lateral xray she has a capsule avulsion fracture of the middle phalanx that is sub-acute (Figure 1). Figure 2 and 3 show pictures of her right small finger proximal interphalangeal (PIP) joint contracture and how the small finger crosses over the ring finger when making a fist. What is the best treatment option?
Correct
The patient is presenting with a flexion contracture of the proximal interphalangeal (PIP) joint of the right small finger. Loss of motion of the PIP joint can be disabling with loss of grip strength and can be difficult to shake hands or put gloves on. PIP joint contracture is often caused by a fracture or soft tissue injury that causes the patient to immobilize the finger. Joint swelling naturally flexes the finger 30-40 degrees and the finger can get locked in this position without early motion after an injury. The flexor tendons and injured volar plate develop adhesions quickly, leading to loss of motion. The key to preventing PIP joint contractures is early finger motion after an injury. The injured PIP joint can be immobilized in full extension for comfort, but never longer than 2-3 weeks. Buddy taping fingers is a good option after 2-3 weeks for most finger injuries. The use of extension splints worn 6-12 hours per day can help correct deformities less than 45 degrees. Occupational therapy provides patients with splinting and offers education on passive and active motion techniques. Improvement from splinting can be very slow with steady improvement up to 4 months. There is no universally agreed upon timetable for surgical treatment but stiff contractures > 45 degrees (stuck with both passive and active motion) and contractures that fail treatment for 4-6 months should be considered for surgery. Surgical options include use of an external fixator or an open contracture release.
Answer B.
References
Tuffaha SH, Lee WA. Treatment of proximal interphalangeal joint contracture. Hand clinics. 2018 May 1;34(2):229-35.
Hogan CJ, Nunley JA. Posttraumatic proximal interphalangeal joint flexion contractures. JAAOS-Journal of the American Academy of Orthopaedic Surgeons. 2006 Sep 1;14(9):524-
Incorrect
The patient is presenting with a flexion contracture of the proximal interphalangeal (PIP) joint of the right small finger. Loss of motion of the PIP joint can be disabling with loss of grip strength and can be difficult to shake hands or put gloves on. PIP joint contracture is often caused by a fracture or soft tissue injury that causes the patient to immobilize the finger. Joint swelling naturally flexes the finger 30-40 degrees and the finger can get locked in this position without early motion after an injury. The flexor tendons and injured volar plate develop adhesions quickly, leading to loss of motion. The key to preventing PIP joint contractures is early finger motion after an injury. The injured PIP joint can be immobilized in full extension for comfort, but never longer than 2-3 weeks. Buddy taping fingers is a good option after 2-3 weeks for most finger injuries. The use of extension splints worn 6-12 hours per day can help correct deformities less than 45 degrees. Occupational therapy provides patients with splinting and offers education on passive and active motion techniques. Improvement from splinting can be very slow with steady improvement up to 4 months. There is no universally agreed upon timetable for surgical treatment but stiff contractures > 45 degrees (stuck with both passive and active motion) and contractures that fail treatment for 4-6 months should be considered for surgery. Surgical options include use of an external fixator or an open contracture release.
Answer B.
References
Tuffaha SH, Lee WA. Treatment of proximal interphalangeal joint contracture. Hand clinics. 2018 May 1;34(2):229-35.
Hogan CJ, Nunley JA. Posttraumatic proximal interphalangeal joint flexion contractures. JAAOS-Journal of the American Academy of Orthopaedic Surgeons. 2006 Sep 1;14(9):524-
-
Question 23 of 43
23. Question

A 26 year old male presents to the ED with neck pain following a motorcycle accident earlier in the day. He was helmeted when he was thrown from a bike after colliding with another vehicle. His head hit the ground and he had immediate neck pain after. CT of the neck shows an acute nondisplaced fracture through the right pedicle of C7 with extension into the right articular facet (figure 1). He is able to move the neck with moderate discomfort and his upper extremity motor and sensation are intact. What is the best treatment option for this cervical fracture?
Correct
Fractures of the cervical spine are often unstable and a missed diagnosis can result in spinal instability, progressive deformity, and loss of neuromotor function. When a significant trauma occurs, such as an MVA, and a fracture is suspected, CT is the best modality to rule cervical spine fractures. Routine xray can miss a significant amount of subtle cervical spine fractures and is inadequate alone in high risk patients. For an isolated, nondisplaced pedicle fracture in the subaxial (C3-C7) cervical spine with no signs of instability or neurological compromise, treatment with cervical collar immobilization is recommended. Cervical immobilization is generally recommend for 6-8 weeks with close follow-up to monitor for instability and neurologic deterioration. Halo placement or surgical fixation is considered for fractures with displacement, instability, or with neurological compromise. Surgical options include anterior and/or posterior approaches with open reduction and instrumented stabilization. 1,2
Answer C.
References
1. Awad BI, Lubelski D, Carmody M, Mroz TE, Anderson JS, Moore TA, Steinmetz MP. Surgical versus nonsurgical treatment of subaxial cervical pedicle fractures. World neurosurgery. 2014 Nov 1;82(5):855-65.
2. Feuchtbaum E, Buchowski J, Zebala L. Subaxial cervical spine trauma. Current reviews in musculoskeletal medicine. 2016 Dec;9(4):496-504.
Incorrect
Fractures of the cervical spine are often unstable and a missed diagnosis can result in spinal instability, progressive deformity, and loss of neuromotor function. When a significant trauma occurs, such as an MVA, and a fracture is suspected, CT is the best modality to rule cervical spine fractures. Routine xray can miss a significant amount of subtle cervical spine fractures and is inadequate alone in high risk patients. For an isolated, nondisplaced pedicle fracture in the subaxial (C3-C7) cervical spine with no signs of instability or neurological compromise, treatment with cervical collar immobilization is recommended. Cervical immobilization is generally recommend for 6-8 weeks with close follow-up to monitor for instability and neurologic deterioration. Halo placement or surgical fixation is considered for fractures with displacement, instability, or with neurological compromise. Surgical options include anterior and/or posterior approaches with open reduction and instrumented stabilization. 1,2
Answer C.
References
1. Awad BI, Lubelski D, Carmody M, Mroz TE, Anderson JS, Moore TA, Steinmetz MP. Surgical versus nonsurgical treatment of subaxial cervical pedicle fractures. World neurosurgery. 2014 Nov 1;82(5):855-65.
2. Feuchtbaum E, Buchowski J, Zebala L. Subaxial cervical spine trauma. Current reviews in musculoskeletal medicine. 2016 Dec;9(4):496-504.
-
Question 24 of 43
24. Question

A 62 year old women presents to your clinic with lower back pain for several months. The pain occasionally radiates to the right sided buttocks but doesn’t radiate below the knee. The pain seems to be made worse when she first starts to move after being in a stationary position for a prolonged period of time such as long car ride or sitting at her desk. The lower back pain is associated with back stiffness that causes increased pain with extending and twisting the back. AP and lateral xrays of the lumbar spine show joint space narrowing and subchondral sclerosis of the L4-5 and L5-S1 facet joints (figures 1 and 2). Which test is considered the “gold standard” to confirm the source of pain is from the facet joints?
Correct
The lumbar facet joints consist of bilateral superior and inferior articulating processes which help stabilize the spine by preventing anterior and posterior translation during spinal flexion and extension. Lumbar facet joints are the only joints in the lumbar spine with cartilage, subchondral bone, synovium and a joint capsule like the appendicular skeleton, which is more prone to degermation. Facet joint arthritis is very common as 40% to 80% of patients with lower back pain have been found to have it on CT. The most common symptoms are axial lower back pain made worse with back rotation and flexion. The pain may radiate down the thigh or leg but never below the knee if the facet joint is the source. The Kemp test, or facet joint loading test, involves placing the patient’s spine in rotation and extension to reproduce facet joint pain. This test can be helpful but does not provide confirmation. The medial branch nerves that supply sensation to these joints are a target of diagnostic injections for temporary pain relief and to establish the diagnosis as the differential for lower back pain is lengthy. The gold standard for confirming facet joint pain is a diagnostic medial branch block which involves the injection of a local anesthetic around the medial branch nerves. If one or more injections relieve pain, a radial frequency ablation (RFA) of the medial branch nerves provides longer lasting relief. 1,2
Answer D.
References
- Kalichman L, Hunter DJ. Lumbar facet joint osteoarthritis: a review. InSeminars in arthritis and rheumatism 2007 Oct 1 (Vol. 37, No. 2, pp. 69-80). WB Saunders.
- Van Kleef M, Vanelderen P, Cohen SP, Lataster A, Van Zundert J, Mekhail N. Pain originating from the lumbar facet joints. Evidence‐Based Interventional Pain Medicine: According to Clinical Diagnoses. 2011 Dec 2:87-95.
Incorrect
The lumbar facet joints consist of bilateral superior and inferior articulating processes which help stabilize the spine by preventing anterior and posterior translation during spinal flexion and extension. Lumbar facet joints are the only joints in the lumbar spine with cartilage, subchondral bone, synovium and a joint capsule like the appendicular skeleton, which is more prone to degermation. Facet joint arthritis is very common as 40% to 80% of patients with lower back pain have been found to have it on CT. The most common symptoms are axial lower back pain made worse with back rotation and flexion. The pain may radiate down the thigh or leg but never below the knee if the facet joint is the source. The Kemp test, or facet joint loading test, involves placing the patient’s spine in rotation and extension to reproduce facet joint pain. This test can be helpful but does not provide confirmation. The medial branch nerves that supply sensation to these joints are a target of diagnostic injections for temporary pain relief and to establish the diagnosis as the differential for lower back pain is lengthy. The gold standard for confirming facet joint pain is a diagnostic medial branch block which involves the injection of a local anesthetic around the medial branch nerves. If one or more injections relieve pain, a radial frequency ablation (RFA) of the medial branch nerves provides longer lasting relief. 1,2
Answer D.
References
- Kalichman L, Hunter DJ. Lumbar facet joint osteoarthritis: a review. InSeminars in arthritis and rheumatism 2007 Oct 1 (Vol. 37, No. 2, pp. 69-80). WB Saunders.
- Van Kleef M, Vanelderen P, Cohen SP, Lataster A, Van Zundert J, Mekhail N. Pain originating from the lumbar facet joints. Evidence‐Based Interventional Pain Medicine: According to Clinical Diagnoses. 2011 Dec 2:87-95.
-
Question 25 of 43
25. Question

A 67 year old male presents to the ED with right ankle pain after a fall from a ladder 2 hours earlier. He landed directly on his heel and can’t bear any weight on the foot. On physical exam the ankle shows moderate swelling but the skin is intact without any tenting. Lateral xray and sagittal CT are shown in figures 1 and 2, respectively. Which choice below describes the pattern of this calcaneus fracture?
Correct
The calcaneus articulates with the talus and the cuboid in the ankle. The talus has three articulations, or facet joints, with the calcaneus which include the anterior, medial, posterior facets. These complex articulations allow for increased range of motion during foot and ankle motion. Due to the complexity of these joints, fractures through the calcaneus can be difficult to diagnosis and treat. A tongue type fracture is a combination of a vertical fracture line that extends into the posterior facet joint, and a secondary horizontal fracture line exits the posterior boarder of the calcaneal tuberosity. The superior fracture fragment is pulled upward by the Achilles tendon. The longitudinal fracture line creates a wedge-shaped bony fragment, resembling a tongue. This “tongue” includes the posterior tuberosity of the heel bone and a portion of the joint surface. Displaced fractures can tent the skin of the heel causing limited perfusion and an increased risk of tissue necrosis. CT is generally recommended for most calcaneus fractures to determine the extent of displacement and articular surface involvement. Surgical indications include articular surface displacement of the subtalar joint >2-3mm, decreased Böhler’s angle, displaced tuberosity fractures (>1 cm of displacement), and soft tissue compromise. Minimally displaced tongue type fractures can be treated with closed reduction and percutaneous pinning. Tongue type fractures with >1 cm of displacement are generally treated with open reduction and internal fixation. This patient elected to pursue non-operative treatment and was placed in a non-weight bearing boot for 10 weeks. 1,2
Answer B.
References
- Guerado E, Bertrand ML, Cano JR. Management of calcaneal fractures: what have we learnt over the years?. Injury. 2012 Oct 1;43(10):1640-50.
- van der Vliet QM, Potter JM, Esselink TA, Houwert RM, Hietbrink F, Leenen LP, Heng M. Open versus closed operative treatment for tongue-type calcaneal fractures: case series and literature review. The Journal of Foot and Ankle Surgery. 2020 Mar 1;59(2):264-8.
Incorrect
The calcaneus articulates with the talus and the cuboid in the ankle. The talus has three articulations, or facet joints, with the calcaneus which include the anterior, medial, posterior facets. These complex articulations allow for increased range of motion during foot and ankle motion. Due to the complexity of these joints, fractures through the calcaneus can be difficult to diagnosis and treat. A tongue type fracture is a combination of a vertical fracture line that extends into the posterior facet joint, and a secondary horizontal fracture line exits the posterior boarder of the calcaneal tuberosity. The superior fracture fragment is pulled upward by the Achilles tendon. The longitudinal fracture line creates a wedge-shaped bony fragment, resembling a tongue. This “tongue” includes the posterior tuberosity of the heel bone and a portion of the joint surface. Displaced fractures can tent the skin of the heel causing limited perfusion and an increased risk of tissue necrosis. CT is generally recommended for most calcaneus fractures to determine the extent of displacement and articular surface involvement. Surgical indications include articular surface displacement of the subtalar joint >2-3mm, decreased Böhler’s angle, displaced tuberosity fractures (>1 cm of displacement), and soft tissue compromise. Minimally displaced tongue type fractures can be treated with closed reduction and percutaneous pinning. Tongue type fractures with >1 cm of displacement are generally treated with open reduction and internal fixation. This patient elected to pursue non-operative treatment and was placed in a non-weight bearing boot for 10 weeks. 1,2
Answer B.
References
- Guerado E, Bertrand ML, Cano JR. Management of calcaneal fractures: what have we learnt over the years?. Injury. 2012 Oct 1;43(10):1640-50.
- van der Vliet QM, Potter JM, Esselink TA, Houwert RM, Hietbrink F, Leenen LP, Heng M. Open versus closed operative treatment for tongue-type calcaneal fractures: case series and literature review. The Journal of Foot and Ankle Surgery. 2020 Mar 1;59(2):264-8.
-
Question 26 of 43
26. Question

A 21 year old presents to your office with left small finger pain and deformity after a fall a few hours ago. On physical exam the small finger is notably shortened but his skin and sensation to the finger are intact. AP and lateral xrays of the finger show a dorsal dislocation of the proximal interphalangeal (PIP) joint without fracture (figures 1 and 2). A digital block is performed and a bedside attempt at closed reduction is unsuccessful. What structure is likely causing this irreducible PIP joint dislocation?
Correct
Proximal interphalangeal (PIP) joint dislocations are common injuries in contact sports and are second to only metacarpal fractures for the most common football injuries. PIP dislocations can generally be easily reduced as 19% are reduced in the community (generally by athletic trainers or other medical staff on the sidelines), whereas 69% are reduced in the ED and only 8% percent in the operating room. Dorsal dislocations are the most common type and involve the middle phalanx displacing dorsal to the proximal phalanx. Less commonly, IP joints can dislocate in a lateral and volar direction. A small percentage of IP joint dislocations are irreducible by closed manipulation as surrounding soft tissue joint interposition can block reduction. Irreducible dorsal dislocations are generally caused by a displaced volar plate in the joint, and less commonly by the flexor digitorum profundus (FDP) and flexor digitorum superficialis (FDS) tendons. For volar dislocations, the central slip and lateral band are the most common soft tissues blocking reduction. Indications for surgery (open reduction) include an acute irreducible IP joint dislocation. 1,2
Answer D.
References
- Shenouda S, Means O, Fahrenkopf M. Irreducible Proximal Interphalangeal Joint Dislocation. Eplasty. 2024 Jan 12;24:QA1.
2. Saitta BH, Wolf JM. Treating proximal interphalangeal joint dislocations. Hand Clinics. 2018 May 1;34(2)
Incorrect
Proximal interphalangeal (PIP) joint dislocations are common injuries in contact sports and are second to only metacarpal fractures for the most common football injuries. PIP dislocations can generally be easily reduced as 19% are reduced in the community (generally by athletic trainers or other medical staff on the sidelines), whereas 69% are reduced in the ED and only 8% percent in the operating room. Dorsal dislocations are the most common type and involve the middle phalanx displacing dorsal to the proximal phalanx. Less commonly, IP joints can dislocate in a lateral and volar direction. A small percentage of IP joint dislocations are irreducible by closed manipulation as surrounding soft tissue joint interposition can block reduction. Irreducible dorsal dislocations are generally caused by a displaced volar plate in the joint, and less commonly by the flexor digitorum profundus (FDP) and flexor digitorum superficialis (FDS) tendons. For volar dislocations, the central slip and lateral band are the most common soft tissues blocking reduction. Indications for surgery (open reduction) include an acute irreducible IP joint dislocation. 1,2
Answer D.
References
- Shenouda S, Means O, Fahrenkopf M. Irreducible Proximal Interphalangeal Joint Dislocation. Eplasty. 2024 Jan 12;24:QA1.
2. Saitta BH, Wolf JM. Treating proximal interphalangeal joint dislocations. Hand Clinics. 2018 May 1;34(2)
-
Question 27 of 43
27. Question

A 10-year-old female is brought to your office by her parents with left elbow pain after an awkward fall during a gymnastics practice 2 days ago. She had immediate pain in the elbow and has developed significant swelling in the elbow over the last few days. On physical exam her left elbow has significant swelling and ecchymosis on the medial side with tenderness to palpation over the medial epicondyle. AP and lateral view xrays show a displaced (about 6 mm) medial epicondyle fracture (figures 1 and 2). Her motor and sensation are intact in her forearm and wrist. The family is wondering if surgery is recommended for this fracture. Surgical indications for displaced medial epicondyle fractures include all the following except which choice below?
Correct
The medial epicondyle apophysis is the last growth plate to fuse in the distal humerus and is the most common site of pediatric elbow fractures. The unfused growth plate is the weakest part of the elbow and therefore prone to injury. The most common mechanism of injury is a valgus stress on the arm, generally from a fall with an outstretched hand. The ulnar nerve can be injured with medial epicondyle fractures so nerve function should be documented in all cases. Indications for open reduction and internal fixation of displaced medial epicondyle avulsion fractures include a displaced fragment into the joint, ulnar nerve dysfunction, and a markedly unstable elbow. The amount of fracture displacement requiring surgery is controversial. Farsetti et al found that medial epicondyle avulsion fractures with between 5 and 15 mm of displacement that were treated conservatively yielded good long‐term results like those obtained with open reduction and internal fixation. Other authors have recommended surgical fixation with >5 mm of displacement in overhead athletes who put a lot of stress on the elbow with sports. Non-operative treatment includes elbow immobilization at 90 degrees for 2-3 weeks followed by early range of motion. 1,2
Answer A.
References
- Gottschalk, Hilton P. MD; Eisner, Eric MD; Hosalkar, Harish S. MD. Medial Epicondyle Fractures in the Pediatric Population. Journal of the American Academy of Orthopaedic Surgeons 20(4):p 223-232, April 2012. | DOI: 10.5435/JAAOS-20-04-223
- Farsetti, P. MD; Potenza, V. MD; Caterini, R. MD; Ippolito, E. MD. Long-Term Results of Treatment of Fractures of the Medial Humeral Epicondyle in Children. The Journal of Bone & Joint Surgery 83(9):p 1299-1305, September 2001
Incorrect
The medial epicondyle apophysis is the last growth plate to fuse in the distal humerus and is the most common site of pediatric elbow fractures. The unfused growth plate is the weakest part of the elbow and therefore prone to injury. The most common mechanism of injury is a valgus stress on the arm, generally from a fall with an outstretched hand. The ulnar nerve can be injured with medial epicondyle fractures so nerve function should be documented in all cases. Indications for open reduction and internal fixation of displaced medial epicondyle avulsion fractures include a displaced fragment into the joint, ulnar nerve dysfunction, and a markedly unstable elbow. The amount of fracture displacement requiring surgery is controversial. Farsetti et al found that medial epicondyle avulsion fractures with between 5 and 15 mm of displacement that were treated conservatively yielded good long‐term results like those obtained with open reduction and internal fixation. Other authors have recommended surgical fixation with >5 mm of displacement in overhead athletes who put a lot of stress on the elbow with sports. Non-operative treatment includes elbow immobilization at 90 degrees for 2-3 weeks followed by early range of motion. 1,2
Answer A.
References
- Gottschalk, Hilton P. MD; Eisner, Eric MD; Hosalkar, Harish S. MD. Medial Epicondyle Fractures in the Pediatric Population. Journal of the American Academy of Orthopaedic Surgeons 20(4):p 223-232, April 2012. | DOI: 10.5435/JAAOS-20-04-223
- Farsetti, P. MD; Potenza, V. MD; Caterini, R. MD; Ippolito, E. MD. Long-Term Results of Treatment of Fractures of the Medial Humeral Epicondyle in Children. The Journal of Bone & Joint Surgery 83(9):p 1299-1305, September 2001
-
Question 28 of 43
28. Question

A 50 year old with male presents to your office with right knee pain for 8 months. He is an avid runner and the pain becomes significant at the quadriceps tendon insertion at the proximal patella after a short distance of running. Figure 1 shows a sagittal MRI image of the knee with evidence of insertional quadriceps tendinosis at the attachment site on the proximal patella. What is the next best step in treatment?
Correct
Anterior knee pain is a common complaint in running athletes that has a wide range of causes. Quadriceps tendinitis is a relatively common condition in athletes who place repetitive loading and stress on the knee such as volleyball and basketball. Chronic inflammation of the tendon may progress to tendinosis which is a pathologic process caused by repetitive trauma and micro tears results in replacement of normal tendon to scar tissue. Symptoms of quadriceps tendinitis/ tendinosis include pain to palpation over the proximal pole of the patella, pain with resisted knee extension, and increasing pain with activities. MRI is the study of choice to determine the extent of the tendinitis and to help determine how much of the tendon has turned to scar tissue (tendinosis). The initial treatment is always conservative with ice, anti-inflammatories, rest, and physical therapy to focus on hamstring stretching. Platelet rich plasma (PRP) injections have shown promise in helping to relieve pain and healing of quadriceps tendinosis. Surgery is usually not necessary but in some chronic cases the scar tissue can be debrided or excised to promote normal tendon healing. Steroid injections into tendons has been shown to cause collagen necrosis and a decrease in tensile strength, which increases the risk of tendon rupture. 1, 2
Answer B.
References
- King D, Yakubek G, Chughtai M, Khlopas A, Saluan P, Mont MA, Genin J. Quadriceps tendinopathy: a review—part 1: epidemiology and diagnosis. Annals of Translational Medicine. 2019 Feb;7(4):71.
- Hak DJ, Sanchez A, Trobisch P. Quadriceps tendon injuries. Orthopedics. 2010 Jan 1;33(1):40-6.
Incorrect
Anterior knee pain is a common complaint in running athletes that has a wide range of causes. Quadriceps tendinitis is a relatively common condition in athletes who place repetitive loading and stress on the knee such as volleyball and basketball. Chronic inflammation of the tendon may progress to tendinosis which is a pathologic process caused by repetitive trauma and micro tears results in replacement of normal tendon to scar tissue. Symptoms of quadriceps tendinitis/ tendinosis include pain to palpation over the proximal pole of the patella, pain with resisted knee extension, and increasing pain with activities. MRI is the study of choice to determine the extent of the tendinitis and to help determine how much of the tendon has turned to scar tissue (tendinosis). The initial treatment is always conservative with ice, anti-inflammatories, rest, and physical therapy to focus on hamstring stretching. Platelet rich plasma (PRP) injections have shown promise in helping to relieve pain and healing of quadriceps tendinosis. Surgery is usually not necessary but in some chronic cases the scar tissue can be debrided or excised to promote normal tendon healing. Steroid injections into tendons has been shown to cause collagen necrosis and a decrease in tensile strength, which increases the risk of tendon rupture. 1, 2
Answer B.
References
- King D, Yakubek G, Chughtai M, Khlopas A, Saluan P, Mont MA, Genin J. Quadriceps tendinopathy: a review—part 1: epidemiology and diagnosis. Annals of Translational Medicine. 2019 Feb;7(4):71.
- Hak DJ, Sanchez A, Trobisch P. Quadriceps tendon injuries. Orthopedics. 2010 Jan 1;33(1):40-6.
-
Question 29 of 43
29. Question

A 22 year old male present to your office with right shoulder pain after he was shooting his grandfathers shot gun 2 days earlier. The gun kicked back and he had immediate pain over the coracoid. On physical exam he has tenderness to palpation over the anterior coracoid and pain with forward elevation of the arm. AP and outlet views of the right shoulder (figures 1 and 2) show a nondisplaced coracoid fracture. What is the next best treatment option?
Correct
The coracoid is small hook shaped bone on the anterior scapula that acts as an attachment site to several structures including the conjoint tendon, coracoclavicular (CC) ligaments, and the pectoralis minor tendon. Fractures of the coracoid process are rare and can be caused by direct trauma to the anterior shoulder and a sudden contraction of the coracobrachialis and the short head of the biceps muscles causing an avulsion off the tip of the coracoid. Isolated non-displaced and minimally displaced coracoid fractures can be treated with conservative treatment including a sling for comfort for 2-4 weeks followed by early pendulum and wall crawl type shoulder exercise. Physical therapy can be initiated for shoulder strengthening at 6 weeks with an expected return to sports at 2-3 months. Injuries to multiple structures including the coracoid process, acromion, distal clavicle, and the acromioclavicular and coracoclavicular ligaments may indicate a superior shoulder suspensory complex (SSSC) disruption and shoulder instability. Surgical fixation of SSSC injuries includes some form of open reduction and internal fixation of the displaced acromion, clavicle, and/or coracoid fractures. 1,2
Answer C.
References
- van Doesburg PG, El Saddy S, Alta TD, van Noort A, van Bergen CJ. Treatment of coracoid process fractures: a systematic review. Archives of Orthopaedic and Trauma Surgery. 2021 Jul;141(7):1091-100.
- Galvin JW, Kang J, Ma R, Li X. Fractures of the coracoid process: evaluation, management, and outcomes. JAAOS-Journal of the American Academy of Orthopaedic Surgeons. 2020 Aug 15;28(16):e706-15.
Incorrect
The coracoid is small hook shaped bone on the anterior scapula that acts as an attachment site to several structures including the conjoint tendon, coracoclavicular (CC) ligaments, and the pectoralis minor tendon. Fractures of the coracoid process are rare and can be caused by direct trauma to the anterior shoulder and a sudden contraction of the coracobrachialis and the short head of the biceps muscles causing an avulsion off the tip of the coracoid. Isolated non-displaced and minimally displaced coracoid fractures can be treated with conservative treatment including a sling for comfort for 2-4 weeks followed by early pendulum and wall crawl type shoulder exercise. Physical therapy can be initiated for shoulder strengthening at 6 weeks with an expected return to sports at 2-3 months. Injuries to multiple structures including the coracoid process, acromion, distal clavicle, and the acromioclavicular and coracoclavicular ligaments may indicate a superior shoulder suspensory complex (SSSC) disruption and shoulder instability. Surgical fixation of SSSC injuries includes some form of open reduction and internal fixation of the displaced acromion, clavicle, and/or coracoid fractures. 1,2
Answer C.
References
- van Doesburg PG, El Saddy S, Alta TD, van Noort A, van Bergen CJ. Treatment of coracoid process fractures: a systematic review. Archives of Orthopaedic and Trauma Surgery. 2021 Jul;141(7):1091-100.
- Galvin JW, Kang J, Ma R, Li X. Fractures of the coracoid process: evaluation, management, and outcomes. JAAOS-Journal of the American Academy of Orthopaedic Surgeons. 2020 Aug 15;28(16):e706-15.
-
Question 30 of 43
30. Question

A 14 year old comes into your office with left shoulder pain after a fall from his bicycle two days earlier. He had immediate pain and has had difficulty lifting his arm over his head since. On physical exam he has tenderness over the AC joint and pain with forward elevation of the humerus. He also seems to have increased swelling to the distal deltoid of the shoulder but no tenderness to palpation over the area. AP and lateral xrays (figures 1 and 2) show no acute abnormalities. Incidentally a large bony mass protruding laterally on the proximal humerus is seen. MRI view of the proximal humerus is shown in figure 3. What is the next best step in treatment?Correct
The tumor has benign features consistent with an osteochondroma. Osteochondromas are the most common benign bone tumors which account for 30% of all benign bone tumors. The benign features of the lesion include a non-painful mass, well defined bony boarders, no cortical bone destruction, and a cartilaginous cap. This lesion also has an exostosis consistent with an osteochondroma, or a bony outgrowth that protrudes from the surface of existing bone. Destructive lesions can show radiographic signs of endosteal scalloping, cortical destruction and thick periosteal reaction. Aggressive tumors can also erode bone and surrounding vascular structures. Radiographs offer the best imaging characteristics for benign and destructive lesions, but MRI is the gold standard for classifying the tumor and deciding on the need for biopsy. Intravenous contrast is often used with MRI to help differentiate benign vs malignant tumors. Malignant tumors often have an increased and disorganized network of blood vessels that invade surrounding soft tissues whereas benign tumors are less vascular and have a distinct boarder from surrounding tissue. Benign bone tumors are treated with observation. 1,2
Answer A.
References
- Plant J, Cannon S. Diagnostic work up and recognition of primary bone tumours: a review. EFORT Open Reviews. 2016 Jun 8;1(6):247-53.
- Hakim DN, Pelly T, Kulendran M, Caris JA. Benign tumours of the bone: a review. Journal of bone oncology. 2015 Jun 1;4(2):37-41.
Incorrect
The tumor has benign features consistent with an osteochondroma. Osteochondromas are the most common benign bone tumors which account for 30% of all benign bone tumors. The benign features of the lesion include a non-painful mass, well defined bony boarders, no cortical bone destruction, and a cartilaginous cap. This lesion also has an exostosis consistent with an osteochondroma, or a bony outgrowth that protrudes from the surface of existing bone. Destructive lesions can show radiographic signs of endosteal scalloping, cortical destruction and thick periosteal reaction. Aggressive tumors can also erode bone and surrounding vascular structures. Radiographs offer the best imaging characteristics for benign and destructive lesions, but MRI is the gold standard for classifying the tumor and deciding on the need for biopsy. Intravenous contrast is often used with MRI to help differentiate benign vs malignant tumors. Malignant tumors often have an increased and disorganized network of blood vessels that invade surrounding soft tissues whereas benign tumors are less vascular and have a distinct boarder from surrounding tissue. Benign bone tumors are treated with observation. 1,2
Answer A.
References
- Plant J, Cannon S. Diagnostic work up and recognition of primary bone tumours: a review. EFORT Open Reviews. 2016 Jun 8;1(6):247-53.
- Hakim DN, Pelly T, Kulendran M, Caris JA. Benign tumours of the bone: a review. Journal of bone oncology. 2015 Jun 1;4(2):37-41.
-
Question 31 of 43
31. Question

A 42 year old avid golfer presents to your office with 6 months of ulnar sided left wrist pain. He denies any known injury but when he swings a hammer or golf club the ulnar side of his wrist hurts. On physical exam his pain is reproduced when the wrist is forced in ulnar deviation and extension. AP and lateral xrays are shown in figures 1 and 2. Coronal MRI (figure 3) of the left wrist shows edema in the triquetrum and ulnar styloid. What is the most likely diagnosis?
Correct
Ulnar sided wrist pain is a common presentation in orthopedic practice. Common causes may include triangular fibrocartilage complex (TFCC) tears, extensor carpi ulnaris (ECU) tendinitis, ligament sprain, ulnar impaction syndrome, distal radial ulnar joint (DRUJ) instability, among others. Ulnar impaction syndrome, or ulnar abutment syndrome, is a condition caused by excessive loading of the ulnar carpal joint, generally from an ulnar deviation motion during sporting events. A prominent ulnar styloid, or ulnar positive variance, causes increased impaction on the triquetrum compared to ulnar neutral and negative wrists. Prolonged ulnar impaction can lead to degeneration of the TFCC, ulnar styloid, lunate and triquetrum. On physical exam, pain can be reproduced by forcing the wrist in extension and ulnar deviation. AP wrist xray can help identify a positive ulnar variance and ulnar styloid degeneration in advanced disease. MRI is the best study to identify early disease with evidence of ulnar styloid bone edema and/or chondromalacia. MRI is also critical to ruling out other sources of ulnar sided wrist pain. Nonoperative treatment is the first line approach and includes rest, immobilization with a cast or splint, wrist injections, and bracing. The current gold standard surgical approach is an ulnar shortening osteotomy. 1,2
Answer A.
References
- Acott TR, Greenberg JA. Ulnar abutment syndrome in the athlete. Orthopedic Clinics. 2020 Apr 1;51(2):227-33.
2. Sammer DM, Rizzo M. Ulnar impaction. Hand clinics. 2010 N
Incorrect
Ulnar sided wrist pain is a common presentation in orthopedic practice. Common causes may include triangular fibrocartilage complex (TFCC) tears, extensor carpi ulnaris (ECU) tendinitis, ligament sprain, ulnar impaction syndrome, distal radial ulnar joint (DRUJ) instability, among others. Ulnar impaction syndrome, or ulnar abutment syndrome, is a condition caused by excessive loading of the ulnar carpal joint, generally from an ulnar deviation motion during sporting events. A prominent ulnar styloid, or ulnar positive variance, causes increased impaction on the triquetrum compared to ulnar neutral and negative wrists. Prolonged ulnar impaction can lead to degeneration of the TFCC, ulnar styloid, lunate and triquetrum. On physical exam, pain can be reproduced by forcing the wrist in extension and ulnar deviation. AP wrist xray can help identify a positive ulnar variance and ulnar styloid degeneration in advanced disease. MRI is the best study to identify early disease with evidence of ulnar styloid bone edema and/or chondromalacia. MRI is also critical to ruling out other sources of ulnar sided wrist pain. Nonoperative treatment is the first line approach and includes rest, immobilization with a cast or splint, wrist injections, and bracing. The current gold standard surgical approach is an ulnar shortening osteotomy. 1,2
Answer A.
References
- Acott TR, Greenberg JA. Ulnar abutment syndrome in the athlete. Orthopedic Clinics. 2020 Apr 1;51(2):227-33.
2. Sammer DM, Rizzo M. Ulnar impaction. Hand clinics. 2010 N
-
Question 32 of 43
32. Question

A 66-year-old woman presents to your office with several months of right knee pain. She denies any specific injury or inciting event. The pain is most noticeable when initiating gait or starting activity after prolonged rest. On physical examination, there is a small joint effusion but no evidence of knee instability. Anteroposterior radiograph of the knee (Figure 1) demonstrates coronal tibiofemoral subluxation—the tibia is subluxed laterally relative to the femur. Coronal tibiofemoral subluxation in knee osteoarthritis most commonly results from which of the following pathological processes?
Correct
In knee osteoarthritis (OA), progressive cartilage degeneration typically affects one side of the knee more than the other—either the medial or lateral tibiofemoral compartment. This asymmetric degeneration leads to joint space narrowing and mechanical malalignment (varus or valgus). Over time, the tibia may sublux relative to the femur in the coronal plane due to stress on surrounding ligaments from a progressive varus or valgus malalignment. Medial or lateral coronal tibiofemoral subluxation is therefore a common finding in patients with knee OA.1,2
In the early stages of OA, as cartilage begins to break down, knee alignment gradually changes due to ligamentous laxity and altered load distribution. Coronal tibiofemoral subluxation appears early in the disease and does not significantly worsen as OA progresses. With advancing OA, increased tissue stiffness limits further subluxation, even as varus or valgus deformity continues to progress. Coronal subluxation can be corrected through total knee arthroplasty (TKA), which restores normal mechanical alignment. Notably, the severity of preoperative subluxation does not appear to influence postoperative alignment outcomes following TKA. 1,2
Answer B.
References
1. Khamaisy S, Zuiderbaan HA, Thein R, Gladnick BP, Pearle AD. Coronal tibiofemoral subluxation in knee osteoarthritis. Skeletal radiology. 2016 Jan;45(1):57-61.
2. Li R, Fu P. Coronal tibiofemoral subluxation in patients with osteoarthritis was corrected after total knee arthroplasty. Medicine (Baltimore). 2022 Sep 16;101(37):e30641. doi: 10.1097/MD.0000000000030641. PMID: 36123936; PMCID: PMC9478264.
Incorrect
In knee osteoarthritis (OA), progressive cartilage degeneration typically affects one side of the knee more than the other—either the medial or lateral tibiofemoral compartment. This asymmetric degeneration leads to joint space narrowing and mechanical malalignment (varus or valgus). Over time, the tibia may sublux relative to the femur in the coronal plane due to stress on surrounding ligaments from a progressive varus or valgus malalignment. Medial or lateral coronal tibiofemoral subluxation is therefore a common finding in patients with knee OA.1,2
In the early stages of OA, as cartilage begins to break down, knee alignment gradually changes due to ligamentous laxity and altered load distribution. Coronal tibiofemoral subluxation appears early in the disease and does not significantly worsen as OA progresses. With advancing OA, increased tissue stiffness limits further subluxation, even as varus or valgus deformity continues to progress. Coronal subluxation can be corrected through total knee arthroplasty (TKA), which restores normal mechanical alignment. Notably, the severity of preoperative subluxation does not appear to influence postoperative alignment outcomes following TKA. 1,2
Answer B.
References
1. Khamaisy S, Zuiderbaan HA, Thein R, Gladnick BP, Pearle AD. Coronal tibiofemoral subluxation in knee osteoarthritis. Skeletal radiology. 2016 Jan;45(1):57-61.
2. Li R, Fu P. Coronal tibiofemoral subluxation in patients with osteoarthritis was corrected after total knee arthroplasty. Medicine (Baltimore). 2022 Sep 16;101(37):e30641. doi: 10.1097/MD.0000000000030641. PMID: 36123936; PMCID: PMC9478264.
-
Question 33 of 43
33. Question

A 12-year-old football player presents to your office with lateral foot pain after twisting his ankle during play 3 weeks ago. He thought it was a mild sprain and played through the injury but the pain started to get worse. On physical exam he has tenderness to palpation over the proximal 5th metatarsal and minimal foot swelling. Oblique view radiograph of the right foot is shown in figure 1. Given his age, it is unclear whether figure 1 shows a proximal 5th apophyseal fracture, or a normal growth plate, so a contralateral comparison is ordered (Figure 2). What is the best treatment option for this patient?
Correct
Apophyseal fractures of the proximal fifth metatarsal, sometimes called “avulsion” or “tuberosity” fractures, are the most frequent pediatric foot fractures. They result from traction of the peroneus brevis tendon or the lateral band of the plantar aponeurosis on the unfused apophysis. In growing children, the apophyseal growth plate typically ossifies between ages 9–14, and incomplete closure predisposes it to injury. Apophyseal (tuberosity) fractures of the proximal fifth metatarsal are treated conservatively, usually with symptomatic care in a walking boot or cast for about 6 weeks or until pain subsides. Apophyseal fracturs heal faster than other proximal fifth metatarsal and diaphyseal fractures, requiring on average 6 weeks of immobilization and 8–9 weeks to return to sports, compared with >9 weeks for diaphyseal fractures. Neither displacement nor alignment significantly affected outcomes, confirming that these injuries rarely need surgical intervention when managed conservatively. Displacement (defined as >2 mm gap between fragments) was not a predictor of poor healing or longer immobilization time. For the rare displaced or intra-articular tuberosity avulsion fracture with extensive articular step-off, open reduction and internal fixation with either a single screw or Kirschner wires is indicated. 1,2,3
Answer B.
References
1. Lee HA, Batley MG, Krakow A, et al. New classification for pediatric proximal fifth metatarsal fractures. J Foot Ankle Surg. 2024;63(3):267-274. doi:10.1053/j.jfas.2023.11.015
2. Gray AC, Rooney BP, Ingram R. A prospective comparison of two treatment options for tuberosity fractures of the proximal fifth metatarsal. Foot (Edinb). 2008;18(3):156-158. doi:10.1016/j.foot.2008.02.002
3. Rosenberg GA, Sferra JJ. Treatment strategies for acute fractures and nonunions of the proximal fifth metatarsal. J Am Acad Orthop Surg. 2000;8(5):332-338
Incorrect
Apophyseal fractures of the proximal fifth metatarsal, sometimes called “avulsion” or “tuberosity” fractures, are the most frequent pediatric foot fractures. They result from traction of the peroneus brevis tendon or the lateral band of the plantar aponeurosis on the unfused apophysis. In growing children, the apophyseal growth plate typically ossifies between ages 9–14, and incomplete closure predisposes it to injury. Apophyseal (tuberosity) fractures of the proximal fifth metatarsal are treated conservatively, usually with symptomatic care in a walking boot or cast for about 6 weeks or until pain subsides. Apophyseal fracturs heal faster than other proximal fifth metatarsal and diaphyseal fractures, requiring on average 6 weeks of immobilization and 8–9 weeks to return to sports, compared with >9 weeks for diaphyseal fractures. Neither displacement nor alignment significantly affected outcomes, confirming that these injuries rarely need surgical intervention when managed conservatively. Displacement (defined as >2 mm gap between fragments) was not a predictor of poor healing or longer immobilization time. For the rare displaced or intra-articular tuberosity avulsion fracture with extensive articular step-off, open reduction and internal fixation with either a single screw or Kirschner wires is indicated. 1,2,3
Answer B.
References
1. Lee HA, Batley MG, Krakow A, et al. New classification for pediatric proximal fifth metatarsal fractures. J Foot Ankle Surg. 2024;63(3):267-274. doi:10.1053/j.jfas.2023.11.015
2. Gray AC, Rooney BP, Ingram R. A prospective comparison of two treatment options for tuberosity fractures of the proximal fifth metatarsal. Foot (Edinb). 2008;18(3):156-158. doi:10.1016/j.foot.2008.02.002
3. Rosenberg GA, Sferra JJ. Treatment strategies for acute fractures and nonunions of the proximal fifth metatarsal. J Am Acad Orthop Surg. 2000;8(5):332-338
-
Question 34 of 43
34. Question

A 35-year-old male presents to your office with right foot pain for 2 months. He had a subtle twisting injury at work that seemed to have aggravated the pain. He admits to off-and-on-mid-foot pain in his late teens and early twenties while playing sports but he has since stopped playing. On physical exam he has midfoot pain to palpation with a slight flat foot deformity. AP and lateral xrays are shown in figures 1 and 2. Sagittal MRI STIR image of the right foot shows a nonosseous calcaneonavicular coalition with bone marrow edema on the adjacent cortical margins (figure 3). What is the best treatment option for this patient?
Correct
Calcaneonavicular coalition is one of the two most common types of tarsal coalitions, accounting for approximately 40–45% of all cases. It represents an abnormal connection between the anterior process of the calcaneus and the lateral aspect of the navicular bone, which can be fibrous, cartilaginous, or osseous in nature. The condition typically manifests during late childhood or early adolescence, when the fibrocartilaginous bridge begins to ossify—usually between 8 and 12 years of age—causing restricted subtalar motion, pain, and a rigid flatfoot deformity. Patients may present with peroneal muscle spasm, recurrent ankle sprains, or localized tenderness over the sinus tarsi. Although more common in the second decade of life, a painful tarsal coalition can be present in adulthood as well. 1,2
Radiographic diagnosis of calcaneonavicular coalition relies heavily on recognizing characteristic findings on specific imaging views. A lateral view xray demonstrates the “anteater nose” sign—an elongated anterior process of the calcaneus projecting toward the navicular. When the diagnosis is uncertain, CT can provide detailed assessment of the coalition’s size and morphology, while MRI helps identify nonosseous variants. The goal of treatment is to reduce pain and inflammation while limiting subtalar and midfoot motion to prevent further irritation at the coalition. Initial treatment includes activity modification, nonsteroidal anti-inflammatory drugs (NSAIDs), and custom orthoses such as medial heel wedges and arch supports. Immobilization with a boot or cast may be necessary if these approaches fail. The pain in the tarsal coalition typically results from abnormal joint mechanics, restricted subtalar motion, and secondary arthrosis or ligament strain, not from localized inflammation so a steroid injection is not a typical treatment option. If conservative treatments fail, surgical resection with interposition of the extensor digitorum
brevis (EDB) muscle, isolated subtalar fusion, and a triple arthrodesis are surgical options. 1,2
Answer A.
References
1. Zaw H, Calder JDF. Tarsal coalitions. Foot and Ankle Clinics of North America. 2010;15(3):349–364.
2. Kulik SA Jr, Clanton TO. Tarsal coalition. Foot & Ankle International. 1996;17(5):286–296.
Incorrect
Calcaneonavicular coalition is one of the two most common types of tarsal coalitions, accounting for approximately 40–45% of all cases. It represents an abnormal connection between the anterior process of the calcaneus and the lateral aspect of the navicular bone, which can be fibrous, cartilaginous, or osseous in nature. The condition typically manifests during late childhood or early adolescence, when the fibrocartilaginous bridge begins to ossify—usually between 8 and 12 years of age—causing restricted subtalar motion, pain, and a rigid flatfoot deformity. Patients may present with peroneal muscle spasm, recurrent ankle sprains, or localized tenderness over the sinus tarsi. Although more common in the second decade of life, a painful tarsal coalition can be present in adulthood as well. 1,2
Radiographic diagnosis of calcaneonavicular coalition relies heavily on recognizing characteristic findings on specific imaging views. A lateral view xray demonstrates the “anteater nose” sign—an elongated anterior process of the calcaneus projecting toward the navicular. When the diagnosis is uncertain, CT can provide detailed assessment of the coalition’s size and morphology, while MRI helps identify nonosseous variants. The goal of treatment is to reduce pain and inflammation while limiting subtalar and midfoot motion to prevent further irritation at the coalition. Initial treatment includes activity modification, nonsteroidal anti-inflammatory drugs (NSAIDs), and custom orthoses such as medial heel wedges and arch supports. Immobilization with a boot or cast may be necessary if these approaches fail. The pain in the tarsal coalition typically results from abnormal joint mechanics, restricted subtalar motion, and secondary arthrosis or ligament strain, not from localized inflammation so a steroid injection is not a typical treatment option. If conservative treatments fail, surgical resection with interposition of the extensor digitorum
brevis (EDB) muscle, isolated subtalar fusion, and a triple arthrodesis are surgical options. 1,2
Answer A.
References
1. Zaw H, Calder JDF. Tarsal coalitions. Foot and Ankle Clinics of North America. 2010;15(3):349–364.
2. Kulik SA Jr, Clanton TO. Tarsal coalition. Foot & Ankle International. 1996;17(5):286–296.
-
Question 35 of 43
35. Question

A 47 year old female presents to your office with a several year history of left thumb pain. She has worked for years in landscaping and manufacturing and the pain has progressively worsened to the point she can no longer work. She has done periods of immobilization and multiple steroid injections with minimal relief. AP and lateral radiographs are shown in figures 1 and 2, respectively. Which of the following surgical options is most commonly performed for the treatment of thumb carpometacarpal (CMC) joint arthritis?
Correct
The thumb carpometacarpal (CMC) joint, formed by the articulation between the first metacarpal and the trapezium, is a highly mobile saddle joint essential for thumb opposition and fine motor tasks. Osteoarthritis of the CMC joint is one of the most common degenerative conditions affecting the hand, particularly among women. The condition arises due to ligamentous laxity—most notably of the anterior oblique ligament—leading to joint instability, cartilage wear, and pain. Early stages of the disease can often be managed conservatively with splints, NSAIDs, and corticosteroid injections, but advanced cases frequently require surgical intervention to restore function and relieve pain. 1,2
A wide array of surgical options has been developed for CMC arthritis, including trapeziectomy (complete removal of the trapezium), ligament reconstruction with or without tendon interposition (LRTI), arthrodesis (joint fusion), and prosthetic arthroplasty. Among these, trapeziectomy with ligament reconstruction and tendon interposition (LRTI) remains the most widely performed procedure in North America. Data from national Medicare studies between 2001 and 2010 show that approximately 90% of thumb CMC arthritis surgeries in the U.S. employed LRTI. LRTI often uses the flexor carpi radialis tendon to reconstruct the anterior oblique ligament and interpose tissue to maintain metacarpal height. This technique was designed to improve joint stability and thumb strength while minimizing postoperative subsidence. 1,2
Answer C.
References
1. Yuan F, Aliu O, Chung KC, Mahmoudi E. Evidence-based practice in the surgical treatment of thumb carpometacarpal joint arthritis. The Journal of hand surgery. 2017 Feb 1;42(2):104-12.
2. Gillis J, Calder K, Williams J. Review of thumb carpometacarpal arthritis classification, treatment and outcomes. Canadian Journal of Plastic Surgery. 2011 Dec;19(4):134-8.Incorrect
The thumb carpometacarpal (CMC) joint, formed by the articulation between the first metacarpal and the trapezium, is a highly mobile saddle joint essential for thumb opposition and fine motor tasks. Osteoarthritis of the CMC joint is one of the most common degenerative conditions affecting the hand, particularly among women. The condition arises due to ligamentous laxity—most notably of the anterior oblique ligament—leading to joint instability, cartilage wear, and pain. Early stages of the disease can often be managed conservatively with splints, NSAIDs, and corticosteroid injections, but advanced cases frequently require surgical intervention to restore function and relieve pain. 1,2
A wide array of surgical options has been developed for CMC arthritis, including trapeziectomy (complete removal of the trapezium), ligament reconstruction with or without tendon interposition (LRTI), arthrodesis (joint fusion), and prosthetic arthroplasty. Among these, trapeziectomy with ligament reconstruction and tendon interposition (LRTI) remains the most widely performed procedure in North America. Data from national Medicare studies between 2001 and 2010 show that approximately 90% of thumb CMC arthritis surgeries in the U.S. employed LRTI. LRTI often uses the flexor carpi radialis tendon to reconstruct the anterior oblique ligament and interpose tissue to maintain metacarpal height. This technique was designed to improve joint stability and thumb strength while minimizing postoperative subsidence. 1,2
Answer C.
References
1. Yuan F, Aliu O, Chung KC, Mahmoudi E. Evidence-based practice in the surgical treatment of thumb carpometacarpal joint arthritis. The Journal of hand surgery. 2017 Feb 1;42(2):104-12.
2. Gillis J, Calder K, Williams J. Review of thumb carpometacarpal arthritis classification, treatment and outcomes. Canadian Journal of Plastic Surgery. 2011 Dec;19(4):134-8. -
Question 36 of 43
36. Question

A 44-year-old female presents to your office with right elbow stiffness for 6 months after sustaining a nondisplaced radial head fracture. AP and lateral xrays of the right elbow (figures 1 and 2) from the original injury show a non displaced fracture of the radial head. The fracture healed well in 6 weeks and her elbow pain has subsided but she continues to have trouble with elbow extension and full flexion. She reports difficulty performing activities of daily living such as personal hygiene and typing. On examination, her elbow range of motion is -40 degrees of extension and 110 degrees of flexion. She has completed 2 months of supervised physical therapy with minimal improvement. Which of the following is the most appropriate next step in management?
Correct
Post-traumatic elbow stiffness is a common and functionally limiting complication following elbow injuries such as radial head fractures. The pathogenesis is multifactorial and involves both intrinsic factors (such as intra-articular adhesions, fracture displacement, or arthritis) and extrinsic factors (including capsular and ligament contractures and heterotopic ossification). A functional elbow arc for activities of daily living is traditionally described as 30 degrees–130 degrees of flexion-extension and 50 degrees of both pronation and supination. Patients who fall outside this range often experience significant disability. Initial management is nonoperative and should be individualized, emphasizing early mobilization after fracture. If patients lack full range of motion physical therapy, can be initiated to focus on active and passive range of motion exercises once fracture healing permits. 1,2
When physiotherapy alone fails to restore functional motion, adjunctive nonoperative treatments such as bracing are recommended. Static progressive and dynamic splinting have demonstrated similar and substantial improvements in elbow range of motion, with average gains of 30 degrees–40 degrees reported even in chronic contractures. Static progressive splinting is particularly advantageous due to its ability for patients to apply a step wise increase in joint angle, minimizing inflammation while promoting capsular stretching. Surgical intervention generally includes, either arthroscopic or open arthrolysis, and is reserved for patients with persistent functional limitations for 12 months despite exhaustive conservative measures, mechanical blocks to motion, or severe contractures. Both techniques yield reliable improvements in motion, though they carry higher complication risks and require intensive postoperative rehabilitation. Importantly,
motivated patients with moderate stiffness and no fracture displacement, such as the patient, are ideal candidates for static progressive splinting before considering operative release. 1,2
Answer C.
References
1. Zhang D, Nazarian A, Rodriguez EK. Post-traumatic elbow stiffness: Pathogenesis and current treatments. Shoulder & Elbow. 2020;12(1):38–45.
2. Akhtar A, Hughes B, Watts AC. The post-traumatic stiff elbow: A review. Journal of Clinical Orthopaedics and Trauma. 2021;19:125–131
Incorrect
Post-traumatic elbow stiffness is a common and functionally limiting complication following elbow injuries such as radial head fractures. The pathogenesis is multifactorial and involves both intrinsic factors (such as intra-articular adhesions, fracture displacement, or arthritis) and extrinsic factors (including capsular and ligament contractures and heterotopic ossification). A functional elbow arc for activities of daily living is traditionally described as 30 degrees–130 degrees of flexion-extension and 50 degrees of both pronation and supination. Patients who fall outside this range often experience significant disability. Initial management is nonoperative and should be individualized, emphasizing early mobilization after fracture. If patients lack full range of motion physical therapy, can be initiated to focus on active and passive range of motion exercises once fracture healing permits. 1,2
When physiotherapy alone fails to restore functional motion, adjunctive nonoperative treatments such as bracing are recommended. Static progressive and dynamic splinting have demonstrated similar and substantial improvements in elbow range of motion, with average gains of 30 degrees–40 degrees reported even in chronic contractures. Static progressive splinting is particularly advantageous due to its ability for patients to apply a step wise increase in joint angle, minimizing inflammation while promoting capsular stretching. Surgical intervention generally includes, either arthroscopic or open arthrolysis, and is reserved for patients with persistent functional limitations for 12 months despite exhaustive conservative measures, mechanical blocks to motion, or severe contractures. Both techniques yield reliable improvements in motion, though they carry higher complication risks and require intensive postoperative rehabilitation. Importantly,
motivated patients with moderate stiffness and no fracture displacement, such as the patient, are ideal candidates for static progressive splinting before considering operative release. 1,2
Answer C.
References
1. Zhang D, Nazarian A, Rodriguez EK. Post-traumatic elbow stiffness: Pathogenesis and current treatments. Shoulder & Elbow. 2020;12(1):38–45.
2. Akhtar A, Hughes B, Watts AC. The post-traumatic stiff elbow: A review. Journal of Clinical Orthopaedics and Trauma. 2021;19:125–131
-
Question 37 of 43
37. Question

A 14-year-old right-hand–dominant girl presents with recurrent episodes of right shoulder “slipping out” over the past six months. The instability seemed to have started after a shoulder dislocation in a basketball game that was closed reduced in the emergency department. Recently she was playing basketball and had sharp pain while grabbing and rebound and was unable to continue playing. On examination, she has full but guarded range of motion of the right shoulder, increased external rotation compared with the contralateral side, and positive apprehension and relocation tests. A sulcus sign is absent. Plain radiographs are normal. Axial MRI arthrogram (figure 1) demonstrates an anteroinferior labral tear without significant glenoid bone loss or a large Hill-Sachs defect. Which of the following is the most appropriate management recommendation to discuss with the patient and her family?
Correct
Shoulder instability in adolescents represents a distinct clinical entity characterized by high recurrence rates and unique pathoanatomy compared with adults. The adolescent shoulder favors mobility over stability, and age-related collagen composition—with a higher proportion of elastic type III collagen—predisposes young patients to capsuloligamentous stretching and recurrent instability after an initial event. Traumatic anterior instability is the most common pattern, typically resulting from a single inciting event in abduction and external rotation and frequently associated with structural lesions such as a Bankart lesion and, less commonly, a Hill-Sachs defect. Clinical diagnosis relies heavily on history and physical examination, particularly reproduction of apprehension rather than pain. Imaging, especially MRI arthrogram, is useful to define labral and capsular pathology and to assess for bony defects that influence treatment decisions. 1,2
Management of shoulder instability in adolescent patients remains controversial, particularly after a first-time traumatic dislocation. Nonoperative treatment, consisting of
brief immobilization followed by progressive rehabilitation emphasizing rotator cuff and scapular stabilizer strengthening, has traditionally been recommended; however, outcomes in adolescents are notably poor, with recurrence rates reported as high as 75–100% in skeletally immature patients treated nonoperatively. In contrast, early surgical stabilization has been shown to reduce recurrence and improve functional outcomes in young, active patients, especially those involved in collision or overhead sports. Current consensus suggests that atraumatic or multidirectional instability should be managed initially with structured rehabilitation, whereas traumatic anterior instability in adolescents warrants early discussion of operative stabilization with patients and families, even after a first-time dislocation, given the high risk of recurrence and potential impact on sports participation and quality of life. 1,2
Answer D.
References
1. Walton J, Paxinos A, Tzannes A, Callanan M, Hayes K, Murrell GAC. The unstable shoulder in the adolescent athlete. Am J Sports Med. 2002;30(5):758-767.
2. Taylor DC, Krasinski KL. Adolescent shoulder injuries: consensus and controversies. J Bone Joint Surg Am. 2009;91(2):462-473.
Incorrect
Shoulder instability in adolescents represents a distinct clinical entity characterized by high recurrence rates and unique pathoanatomy compared with adults. The adolescent shoulder favors mobility over stability, and age-related collagen composition—with a higher proportion of elastic type III collagen—predisposes young patients to capsuloligamentous stretching and recurrent instability after an initial event. Traumatic anterior instability is the most common pattern, typically resulting from a single inciting event in abduction and external rotation and frequently associated with structural lesions such as a Bankart lesion and, less commonly, a Hill-Sachs defect. Clinical diagnosis relies heavily on history and physical examination, particularly reproduction of apprehension rather than pain. Imaging, especially MRI arthrogram, is useful to define labral and capsular pathology and to assess for bony defects that influence treatment decisions. 1,2
Management of shoulder instability in adolescent patients remains controversial, particularly after a first-time traumatic dislocation. Nonoperative treatment, consisting of
brief immobilization followed by progressive rehabilitation emphasizing rotator cuff and scapular stabilizer strengthening, has traditionally been recommended; however, outcomes in adolescents are notably poor, with recurrence rates reported as high as 75–100% in skeletally immature patients treated nonoperatively. In contrast, early surgical stabilization has been shown to reduce recurrence and improve functional outcomes in young, active patients, especially those involved in collision or overhead sports. Current consensus suggests that atraumatic or multidirectional instability should be managed initially with structured rehabilitation, whereas traumatic anterior instability in adolescents warrants early discussion of operative stabilization with patients and families, even after a first-time dislocation, given the high risk of recurrence and potential impact on sports participation and quality of life. 1,2
Answer D.
References
1. Walton J, Paxinos A, Tzannes A, Callanan M, Hayes K, Murrell GAC. The unstable shoulder in the adolescent athlete. Am J Sports Med. 2002;30(5):758-767.
2. Taylor DC, Krasinski KL. Adolescent shoulder injuries: consensus and controversies. J Bone Joint Surg Am. 2009;91(2):462-473.
-
Question 38 of 43
38. Question

A 23-year-old man presents with right knee pain for “several years”. He remembers having some discomfort as a teenager that was associated with a slowly enlarging, firm mass along the anteromedial distal thigh. He recently started a construction job where he does a lot of bending and squatting which has made the pain worse. He denies trauma, constitutional symptoms, or family history of skeletal disorders. Physical examination reveals a hard, immobile bony prominence over the distal femur with discomfort at terminal knee flexion. AP and lateral xrays (figures 1 and 2) show a pedunculated osseous lesion arising from the metaphysis of the distal femur with continuity of the cortical and medullary bone. Which of the following is the most appropriate management for this patient?
Correct
Osteochondromas are the most common benign bone tumors, typically arising from the metaphyseal regions of long bones such as the distal femur. They consist of a cartilage-capped bony projection that maintains continuity with the cortex and medullary canal of the parent bone. Although often asymptomatic and discovered incidentally, lesions around the knee may become clinically significant due to mechanical irritation, restricted joint motion, bursitis, or compression of adjacent structures. Plain radiography is usually sufficient for diagnosis, demonstrating the pathognomonic cortical and medullary continuity, while MRI plays a critical role in symptomatic cases by delineating the cartilage cap, assessing surrounding soft tissues, and excluding malignant transformation. A cartilage cap thickness greater than 2 cm in adults, interval growth after skeletal maturity, or new-onset pain should raise concern for secondary chondrosarcoma, although malignant transformation remains rare in solitary lesions. 1,2
Management of distal femoral osteochondromas is guided by symptoms, complications, and concern for malignancy. Asymptomatic lesions may be safely observed, but persistent pain, mechanical limitation, neurovascular compression, or suspicious imaging features warrant surgical intervention. Complete excision, ensuring total removal of the cartilage cap, is the treatment of choice and is associated with excellent outcomes and a low recurrence rate. Complete resection of symptomatic distal femoral osteochondromas
reliably relieves pain and restores function when complete excision is achieved. Recurrence is uncommon and typically related to incomplete removal rather than true tumor regrowth. Long-term follow-up is recommended, particularly in young adults, to monitor for recurrence or rare malignant transformation. 1,2
Answer B.
References
1. Jelti O, El Alaoui O, Lachkar A, et al. Osteochondroma of Distal Femur Managed With Complete Excision: A Case Report. Cureus. 2024;16(1):e51714.
2. Kitsoulis P, Galani V, Stefanaki K, Paraskevas G, Karatzias G, Agnantis NJ, Bai M. Osteochondromas: review of the clinical, radiological and pathological features. In vivo.
2008 Sep 1;22(5):633-46.
Incorrect
Osteochondromas are the most common benign bone tumors, typically arising from the metaphyseal regions of long bones such as the distal femur. They consist of a cartilage-capped bony projection that maintains continuity with the cortex and medullary canal of the parent bone. Although often asymptomatic and discovered incidentally, lesions around the knee may become clinically significant due to mechanical irritation, restricted joint motion, bursitis, or compression of adjacent structures. Plain radiography is usually sufficient for diagnosis, demonstrating the pathognomonic cortical and medullary continuity, while MRI plays a critical role in symptomatic cases by delineating the cartilage cap, assessing surrounding soft tissues, and excluding malignant transformation. A cartilage cap thickness greater than 2 cm in adults, interval growth after skeletal maturity, or new-onset pain should raise concern for secondary chondrosarcoma, although malignant transformation remains rare in solitary lesions. 1,2
Management of distal femoral osteochondromas is guided by symptoms, complications, and concern for malignancy. Asymptomatic lesions may be safely observed, but persistent pain, mechanical limitation, neurovascular compression, or suspicious imaging features warrant surgical intervention. Complete excision, ensuring total removal of the cartilage cap, is the treatment of choice and is associated with excellent outcomes and a low recurrence rate. Complete resection of symptomatic distal femoral osteochondromas
reliably relieves pain and restores function when complete excision is achieved. Recurrence is uncommon and typically related to incomplete removal rather than true tumor regrowth. Long-term follow-up is recommended, particularly in young adults, to monitor for recurrence or rare malignant transformation. 1,2
Answer B.
References
1. Jelti O, El Alaoui O, Lachkar A, et al. Osteochondroma of Distal Femur Managed With Complete Excision: A Case Report. Cureus. 2024;16(1):e51714.
2. Kitsoulis P, Galani V, Stefanaki K, Paraskevas G, Karatzias G, Agnantis NJ, Bai M. Osteochondromas: review of the clinical, radiological and pathological features. In vivo.
2008 Sep 1;22(5):633-46.
-
Question 39 of 43
39. Question

A 56-year-old male presents with 2 months of progressive right shoulder pain that worsens with overhead activity. He denies any injury or known precipitating event. On physical exam he has positive impingement signs and mild weakness with forward elevation of the arm in the scapular plane. Xrays of the right shoulder show no acute abnormalities and sagittal view MRI (figure 1) demonstrates a partial-thickness articular-sided supraspinatus tear involving approximately 40% of tendon thickness. Which of the following is the most appropriate initial management?
Correct
Partial-thickness rotator cuff tears are common in middle-aged and older adults, with prevalence increasing significantly after the fifth decade of life. Most partial-thickness tears, particularly those involving less than 50% of tendon thickness and arising from degenerative rather than traumatic causes, can be managed successfully with nonoperative treatment. Initial management typically includes activity modification, nonsteroidal anti-inflammatory medications, and a physical therapy program focusing on restoring shoulder kinematics, rotator cuff strength, and scapular stabilization. Corticosteroid injections may be used selectively for persistent pain. Importantly, imaging findings must be correlated with clinical symptoms, as a substantial proportion of partial-thickness tears are asymptomatic and may not require surgical intervention. Long-term studies suggest that while healing of partial tears is uncommon, many patients achieve symptom relief over time, particularly when tears involve less than half of the tendon thickness.
When nonoperative treatment fails for a period of 4-6 months, surgical intervention may be considered. Tear depth is the most influential factor guiding operative decision-making. Tears involving 50% or more of tendon thickness are more likely to progress and demonstrate superior outcomes with formal repair compared with debridement alone. Surgical options include arthroscopic debridement (with or without acromioplasty), tear completion followed by repair, or transtendinous (in situ) repair. While biomechanical studies suggest potential advantages of transtendinous repair, clinical outcomes between repair techniques appear largely equivalent. Patient-specific factors such as age, activity
level, occupational demands, tear location (bursal vs articular), and functional impairment help guide treatment. PRP injections have shown promising results in treating partial rotator cuff tears, although the current evidence does not conclusively support the routine use of PRP.
Answer A
References
1. Matthewson G, Beach CJ, Nelson AA, Woodmass JM, Ono Y, Boorman RS, Lo IK, Thornton GM. Partial thickness rotator cuff tears: current concepts. Advances in orthopedics. 2015;2015(1):458786.
2. Matava MJ, Purcell DB, Rudzki JR. Partial-thickness rotator cuff tears. The American journal of sports medicine. 2005 Sep;33(9):1405-17.
Incorrect
Partial-thickness rotator cuff tears are common in middle-aged and older adults, with prevalence increasing significantly after the fifth decade of life. Most partial-thickness tears, particularly those involving less than 50% of tendon thickness and arising from degenerative rather than traumatic causes, can be managed successfully with nonoperative treatment. Initial management typically includes activity modification, nonsteroidal anti-inflammatory medications, and a physical therapy program focusing on restoring shoulder kinematics, rotator cuff strength, and scapular stabilization. Corticosteroid injections may be used selectively for persistent pain. Importantly, imaging findings must be correlated with clinical symptoms, as a substantial proportion of partial-thickness tears are asymptomatic and may not require surgical intervention. Long-term studies suggest that while healing of partial tears is uncommon, many patients achieve symptom relief over time, particularly when tears involve less than half of the tendon thickness.
When nonoperative treatment fails for a period of 4-6 months, surgical intervention may be considered. Tear depth is the most influential factor guiding operative decision-making. Tears involving 50% or more of tendon thickness are more likely to progress and demonstrate superior outcomes with formal repair compared with debridement alone. Surgical options include arthroscopic debridement (with or without acromioplasty), tear completion followed by repair, or transtendinous (in situ) repair. While biomechanical studies suggest potential advantages of transtendinous repair, clinical outcomes between repair techniques appear largely equivalent. Patient-specific factors such as age, activity
level, occupational demands, tear location (bursal vs articular), and functional impairment help guide treatment. PRP injections have shown promising results in treating partial rotator cuff tears, although the current evidence does not conclusively support the routine use of PRP.
Answer A
References
1. Matthewson G, Beach CJ, Nelson AA, Woodmass JM, Ono Y, Boorman RS, Lo IK, Thornton GM. Partial thickness rotator cuff tears: current concepts. Advances in orthopedics. 2015;2015(1):458786.
2. Matava MJ, Purcell DB, Rudzki JR. Partial-thickness rotator cuff tears. The American journal of sports medicine. 2005 Sep;33(9):1405-17.
-
Question 40 of 43
40. Question

A 36 year old female presents to your office with severe right sided arm pain and numbness for the last month. She had a posterior decompression with laminoforaminotomy and discectomy 6 months ago and was doing well. Pre-operative sagittal MRI is shown in figure 1. She denies a known injury or precipitating event which caused the right arm pain to return. On physical exam she has significant weakness to her triceps (elbow extension) and numbness over the right middle finger. Sagittal MRI done one week ago shows a large recurrent C6-C7 disc herniation (figure 2). Which statement is true regarding surgical options for cervical radiculopathy due to cervical disc herniation?
Correct
The patient has a large recurrent C6-C7 disc herniation causing C7 radiculopathy. When patients develop persistent radiculopathy, progressive neurologic deficits, or myelopathy despite adequate nonoperative treatment, surgical intervention is indicated. Anterior cervical discectomy and fusion (ACDF) is considered the gold standard surgical option for cervical radiculopathy, but posterior decompression is also commonly performed. ACDF is commonly used for central or paracentral disc herniations and allows for direct disc removal, neural decompression, and restoration of disc height and alignment. Posterior decompression, including laminoforaminotomy, is often preferred for lateral or foraminal disc herniations in patients with preserved cervical lordosis, as it avoids fusion and preserves segmental motion while effectively relieving nerve root compression. 1,2
ACDF-specific risks include dysphagia, hoarseness due to recurrent laryngeal nerve injury, esophageal or vascular injury, pseudoarthrosis, adjacent segment degeneration, and hardware-related complications. While ACDF provides reliable symptom relief and spinal stability, fusion may increase biomechanical stress on adjacent levels over time. Posterior decompression avoids many anterior approach–related risks but is associated with its own complications, including postoperative axial neck pain, muscle denervation and atrophy, dural tears, infection, and the potential for postoperative instability or recurrent disc herniation. Posterior decompression is associated with a higher rate of recurrent disc herniation compared to ACDF. Both approaches yield comparable clinical outcomes when appropriately selected, and optimal results depend on careful patient selection, anatomy of the disc herniation, and surgeon experience.. 1,2
Answer B
References
- Liu WJ, Hu L, Chou PH, Wang JW, Kan WS. Comparison of anterior cervical discectomy and fusion versus posterior cervical foraminotomy in the treatment of cervical radiculopathy: a systematic review. Orthop Surg. 2016;8(4):425-431. doi:10.1111/os.12285
- Badiee RK, Mayer R, Pennicooke B, Chou D, Mummaneni PV, Tan LA. Complications following posterior cervical decompression and fusion: a review of incidence, risk factors, and prevention strategies. J Spine Surg. 2020;6(1):323-333. doi:10.21037/jss.2019.11.01
Incorrect
The patient has a large recurrent C6-C7 disc herniation causing C7 radiculopathy. When patients develop persistent radiculopathy, progressive neurologic deficits, or myelopathy despite adequate nonoperative treatment, surgical intervention is indicated. Anterior cervical discectomy and fusion (ACDF) is considered the gold standard surgical option for cervical radiculopathy, but posterior decompression is also commonly performed. ACDF is commonly used for central or paracentral disc herniations and allows for direct disc removal, neural decompression, and restoration of disc height and alignment. Posterior decompression, including laminoforaminotomy, is often preferred for lateral or foraminal disc herniations in patients with preserved cervical lordosis, as it avoids fusion and preserves segmental motion while effectively relieving nerve root compression. 1,2
ACDF-specific risks include dysphagia, hoarseness due to recurrent laryngeal nerve injury, esophageal or vascular injury, pseudoarthrosis, adjacent segment degeneration, and hardware-related complications. While ACDF provides reliable symptom relief and spinal stability, fusion may increase biomechanical stress on adjacent levels over time. Posterior decompression avoids many anterior approach–related risks but is associated with its own complications, including postoperative axial neck pain, muscle denervation and atrophy, dural tears, infection, and the potential for postoperative instability or recurrent disc herniation. Posterior decompression is associated with a higher rate of recurrent disc herniation compared to ACDF. Both approaches yield comparable clinical outcomes when appropriately selected, and optimal results depend on careful patient selection, anatomy of the disc herniation, and surgeon experience.. 1,2
Answer B
References
- Liu WJ, Hu L, Chou PH, Wang JW, Kan WS. Comparison of anterior cervical discectomy and fusion versus posterior cervical foraminotomy in the treatment of cervical radiculopathy: a systematic review. Orthop Surg. 2016;8(4):425-431. doi:10.1111/os.12285
- Badiee RK, Mayer R, Pennicooke B, Chou D, Mummaneni PV, Tan LA. Complications following posterior cervical decompression and fusion: a review of incidence, risk factors, and prevention strategies. J Spine Surg. 2020;6(1):323-333. doi:10.21037/jss.2019.11.01
-
Question 41 of 43
41. Question

A 74-year-old woman presents with at least 6 months of chronic low back pain without a history of trauma. She denies radicular symptoms and reports pain localized predominantly to the right lower lumbar region. Her pain is exacerbated by prolonged inactivity, including long car rides and standing in one position, and is associated with significant stiffness, particularly during lumbar bending and rotation. She has undergone physical therapy, NSAID treatment, and activity modification with minimal improvement. A diagnostic lumbar medial branch block resulted in greater than 80% pain relief for the expected duration of the anesthetic. Lumbar spine radiographs (Figure 1) demonstrate severe facet joint arthrosis, most pronounced at L4–L5. Axial MRI (Figure 2) shows facet joint hypertrophy with inflammatory changes. There is no significant disc herniation or central canal stenosis.Based on the clinical presentation, imaging findings, and response to diagnostic injection, the patient is diagnosed with facet-mediated axial low back pain. Which of the following interventions is best supported by current evidence for providing long-term pain relief (>6 months) in this patient?
Correct
Chronic lumbar facet arthritis (zygapophyseal joint osteoarthritis) is a well-recognized cause of axial low back pain, particularly in older adults with degenerative spinal changes. Facetogenic pain is typically characterized by localized lumbar pain that worsens with extension, rotation, and prolonged static postures. Because clinical findings and imaging alone are insufficiently specific, controlled diagnostic medial branch blocks are commonly used to confirm the facet joints as the pain generator. A positive response—generally defined as at least 50–80% temporary pain relief—has been shown to predict improved outcomes following radiofrequency ablation (RFA). 1,2
Among available interventional treatments, lumbar medial branch RFA has the strongest evidence supporting sustained pain relief and functional improvement in patients with confirmed facet-mediated pain. Multiple randomized controlled trials and systematic reviews demonstrate that RFA provides superior and longer-lasting pain relief compared with intra-articular corticosteroid injections, which tend to offer only short-term benefit with inconsistent results beyond a few months. Epidural steroid injections are not indicated in the absence of radiculopathy or spinal stenosis, and surgical options such as facetectomy are not recommended for isolated facetogenic pain. Overall, RFA offers effective short- to intermediate-term relief (often 6 months or longer) with a favorable safety profile in appropriately selected patients. 1,2
Correct Answer B. Lumbar medial branch radiofrequency ablation (RFA)
References
- Daryoush et al. Comparison of Radiofrequency and Corticosteroid Injection for Treatment of Lumbar Facet Joint Pain: A Meta-Analysis. Pain Physician. 2023.
- Radiofrequency vs Steroid Injections for Spinal Facet and Sacroiliac Joint Pain: A Systematic Review and Meta-Analysis. Pain Medicine. 2024.
Incorrect
Chronic lumbar facet arthritis (zygapophyseal joint osteoarthritis) is a well-recognized cause of axial low back pain, particularly in older adults with degenerative spinal changes. Facetogenic pain is typically characterized by localized lumbar pain that worsens with extension, rotation, and prolonged static postures. Because clinical findings and imaging alone are insufficiently specific, controlled diagnostic medial branch blocks are commonly used to confirm the facet joints as the pain generator. A positive response—generally defined as at least 50–80% temporary pain relief—has been shown to predict improved outcomes following radiofrequency ablation (RFA). 1,2
Among available interventional treatments, lumbar medial branch RFA has the strongest evidence supporting sustained pain relief and functional improvement in patients with confirmed facet-mediated pain. Multiple randomized controlled trials and systematic reviews demonstrate that RFA provides superior and longer-lasting pain relief compared with intra-articular corticosteroid injections, which tend to offer only short-term benefit with inconsistent results beyond a few months. Epidural steroid injections are not indicated in the absence of radiculopathy or spinal stenosis, and surgical options such as facetectomy are not recommended for isolated facetogenic pain. Overall, RFA offers effective short- to intermediate-term relief (often 6 months or longer) with a favorable safety profile in appropriately selected patients. 1,2
Correct Answer B. Lumbar medial branch radiofrequency ablation (RFA)
References
- Daryoush et al. Comparison of Radiofrequency and Corticosteroid Injection for Treatment of Lumbar Facet Joint Pain: A Meta-Analysis. Pain Physician. 2023.
- Radiofrequency vs Steroid Injections for Spinal Facet and Sacroiliac Joint Pain: A Systematic Review and Meta-Analysis. Pain Medicine. 2024.
-
Question 42 of 43
42. Question

A 65-year-old female presents to your office with a 2-month history of right shoulder pain that she believes began after a weekend of kayaking. She received a corticosteroid injection two weeks ago with a small amount of relief. She continues to experience pain with reaching, grasping objects, and overhead activities. Sagittal MRI of the right shoulder demonstrates a small full-thickness tear of the anterior supraspinatus tendon (Figure 1). She has full passive range of motion and no weakness with forward elevation of the arm. After discussion, she asks whether she should proceed with surgical repair or attempt nonoperative management first. Based on the current evidence comparing operative and nonoperative treatment of full-thickness rotator cuff tears, which of the following statements is most accurate?
Correct
Discussion
Multiple studies evaluating the management of full-thickness rotator cuff tears demonstrate that both operative and nonoperative treatments can result in significant improvements in pain and shoulder function. Structured physical therapy programs emphasizing rotator cuff and scapular stabilizer strengthening provide clinically meaningful improvement in a substantial proportion of patients, with many avoiding surgery at short- to mid-term follow-up. Several studies have shown no consistent difference in patient-reported outcomes between early surgical repair and initial nonoperative management for small- to medium-sized degenerative tears, particularly in older patients without an acute traumatic mechanism. 1,2
Despite similar clinical outcomes, important differences exist in structural progression. Nonoperative treatment does not promote tendon healing and is associated with a risk of tear enlargement, tendon retraction, and progression of fatty infiltration over time. In contrast, operative repair offers a higher likelihood of structural integrity and full shoulder function long-term. Importantly, delayed surgical repair after a trial of physical therapy does not appear to compromise functional outcomes in most patients. Factors such as larger or massive tears, involvement of the infraspinatus or teres minor, poor tendon quality, chronic biceps pathology, and significant preoperative weakness may favor earlier surgical intervention. Shared decision-making should incorporate patient age, activity level, symptom severity, tear characteristics, and tolerance for the risk of tear progression. 1,2Correct Answer: C
References
1.Piper CC, Hughes AJ, Ma Y, Wang H, Neviaser AS. Operative versus nonoperative treatment for the management of full-thickness rotator cuff tears: A systematic review and meta-analysis. J Shoulder Elbow Surg. 2018;27(3):572–576.
2. Iannotti JP. Full-thickness rotator cuff tears: Factors affecting surgical outcome. J Am Acad Orthop Surg. 1994;2(2):87–95.Incorrect
Discussion
Multiple studies evaluating the management of full-thickness rotator cuff tears demonstrate that both operative and nonoperative treatments can result in significant improvements in pain and shoulder function. Structured physical therapy programs emphasizing rotator cuff and scapular stabilizer strengthening provide clinically meaningful improvement in a substantial proportion of patients, with many avoiding surgery at short- to mid-term follow-up. Several studies have shown no consistent difference in patient-reported outcomes between early surgical repair and initial nonoperative management for small- to medium-sized degenerative tears, particularly in older patients without an acute traumatic mechanism. 1,2
Despite similar clinical outcomes, important differences exist in structural progression. Nonoperative treatment does not promote tendon healing and is associated with a risk of tear enlargement, tendon retraction, and progression of fatty infiltration over time. In contrast, operative repair offers a higher likelihood of structural integrity and full shoulder function long-term. Importantly, delayed surgical repair after a trial of physical therapy does not appear to compromise functional outcomes in most patients. Factors such as larger or massive tears, involvement of the infraspinatus or teres minor, poor tendon quality, chronic biceps pathology, and significant preoperative weakness may favor earlier surgical intervention. Shared decision-making should incorporate patient age, activity level, symptom severity, tear characteristics, and tolerance for the risk of tear progression. 1,2Correct Answer: C
References
1.Piper CC, Hughes AJ, Ma Y, Wang H, Neviaser AS. Operative versus nonoperative treatment for the management of full-thickness rotator cuff tears: A systematic review and meta-analysis. J Shoulder Elbow Surg. 2018;27(3):572–576.
2. Iannotti JP. Full-thickness rotator cuff tears: Factors affecting surgical outcome. J Am Acad Orthop Surg. 1994;2(2):87–95. -
Question 43 of 43
43. Question

A 74-year-old woman presents to the orthopedic clinic with progressive pain and stiffness in her right great toe for several years. She reports worsening pain with walking, particularly during push-off, and difficulty wearing shoes due to dorsal toe pain. Conservative measures including NSAIDs, shoe modifications, and a carbon footplate have provided minimal relief. She denies any recent trauma. On physical examination, there is a prominent dorsal osteophyte over the first metatarsophalangeal (MTP) joint with tenderness to palpation. Active and passive dorsiflexion of the first MTP joint is markedly limited to approximately 10°, and pain is elicited throughout the midrange of motion with a positive grind test. AP and lateral weight-bearing radiographs (figures 1 and 2) demonstrate near-complete joint space loss, subchondral sclerosis, and large dorsal osteophytes consistent with advanced degenerative changes of the first MTP joint. Based on this patient’s presentation, which of the following treatment options is most appropriate to provide reliable long-term pain relief and functional improvement?
Correct
This patient presents with classic features of advanced hallux rigidus, including severe limitation of first MTP joint dorsiflexion, midrange pain on examination, and radiographic evidence of end-stage arthritis. In early or moderate disease, nonoperative management or joint-preserving procedures such as cheilectomy may provide symptomatic relief. However, cheilectomy is most effective when pain is limited to the terminal range of dorsiflexion and when at least 50% of the articular cartilage remains. In the presence of midrange pain and near-complete joint space loss, isolated cheilectomy has a higher failure and revision rate and is therefore not recommended. 1,2
First MTP joint arthrodesis is widely regarded as the gold standard treatment for end-stage hallux rigidus, particularly in older, lower-demand patients. Arthrodesis reliably alleviates pain, restores stability to the first ray, and improves gait mechanics by allowing effective push-off while minimizing transfer metatarsalgia. Large reviews demonstrate high fusion rates, durable pain relief, and predictable functional outcomes, with nonunion rates averaging approximately 5% and high patient satisfaction. Compared with resection arthroplasty, arthrodesis offers superior long-term outcomes with lower complication and revision rates, making it the most appropriate treatment option for this patient. 1,2
Answer C.
References
- Drago S, Nazaroff H, Britton J, Veljkovic A. Assessment and management of atraumatic first metatarsophalangeal joint pain. J Am Acad Orthop Surg. 2023;31(14):708–716.
- Koutsouradis P, Savvidou OD, Stamatis ED. Arthrodesis of the first metatarsophalangeal joint: The “when and how”. World J Orthop. 2021;12(7):485–494
Incorrect
This patient presents with classic features of advanced hallux rigidus, including severe limitation of first MTP joint dorsiflexion, midrange pain on examination, and radiographic evidence of end-stage arthritis. In early or moderate disease, nonoperative management or joint-preserving procedures such as cheilectomy may provide symptomatic relief. However, cheilectomy is most effective when pain is limited to the terminal range of dorsiflexion and when at least 50% of the articular cartilage remains. In the presence of midrange pain and near-complete joint space loss, isolated cheilectomy has a higher failure and revision rate and is therefore not recommended. 1,2
First MTP joint arthrodesis is widely regarded as the gold standard treatment for end-stage hallux rigidus, particularly in older, lower-demand patients. Arthrodesis reliably alleviates pain, restores stability to the first ray, and improves gait mechanics by allowing effective push-off while minimizing transfer metatarsalgia. Large reviews demonstrate high fusion rates, durable pain relief, and predictable functional outcomes, with nonunion rates averaging approximately 5% and high patient satisfaction. Compared with resection arthroplasty, arthrodesis offers superior long-term outcomes with lower complication and revision rates, making it the most appropriate treatment option for this patient. 1,2
Answer C.
References
- Drago S, Nazaroff H, Britton J, Veljkovic A. Assessment and management of atraumatic first metatarsophalangeal joint pain. J Am Acad Orthop Surg. 2023;31(14):708–716.
- Koutsouradis P, Savvidou OD, Stamatis ED. Arthrodesis of the first metatarsophalangeal joint: The “when and how”. World J Orthop. 2021;12(7):485–494